Autores
Federico Díaz Rojas.
Santiago Medrano Martorell.
Jaume Capellades Font, Servicio de Radiodiagnóstico.
Historia Clínica
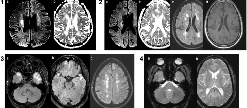
Mujer de 69 años de edad, con un cuadro de 7 meses de inestabilidad cefálica y de la marcha. Se realiza una RM craneal inicial, que es normal. Progresivamente, la síntomatología empeora, añadiéndose desorientación, alucinaciones, mioclonías y deterioro cognitivo. Se repite RM craneal por empeoramiento clínico progresivo.
