Autores
Dr. Antonio Jesús Mosqueira Martínez. Servicio de Radiodiagnóstico. Complexo Hospitalario Universitario de Santiago de Compostela. E-mail: [email protected]
Dr. Sebastián Capurro Ferrer. Sección de Neurorradiología. Servicio de Radiodiagnóstico. Hospital Universitari Clinic de Barcelona. E-mail: [email protected]
Historia Clínica
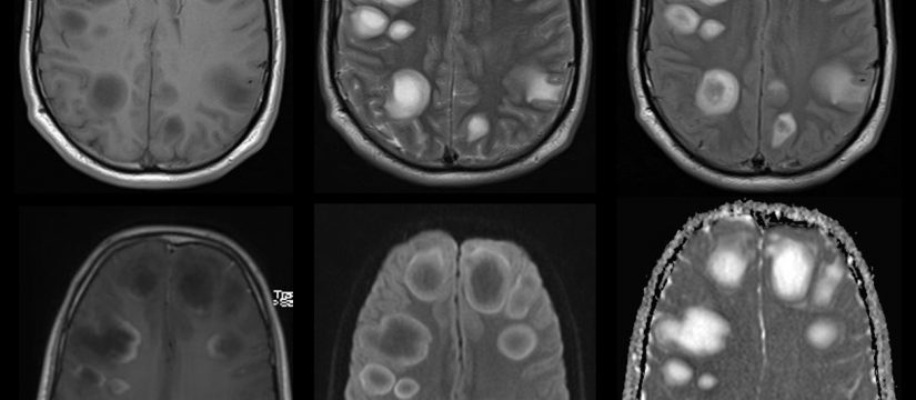
Niño de 4 años en estudio por crisis comiciales.
