Autores
Dra. Isabel García Chaume
Dra. María Dolores Monedero Picazo
Dr. Jose Antonio González Nieto
Historia Clínica
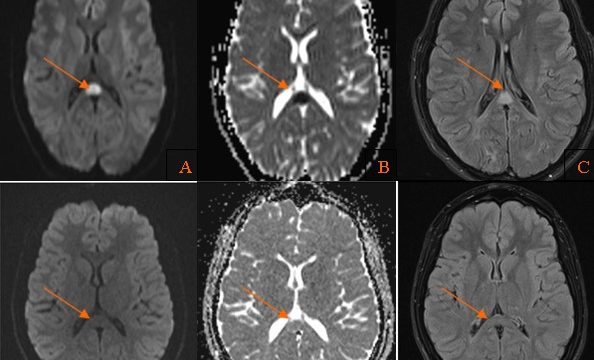
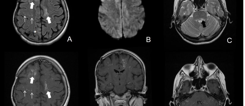
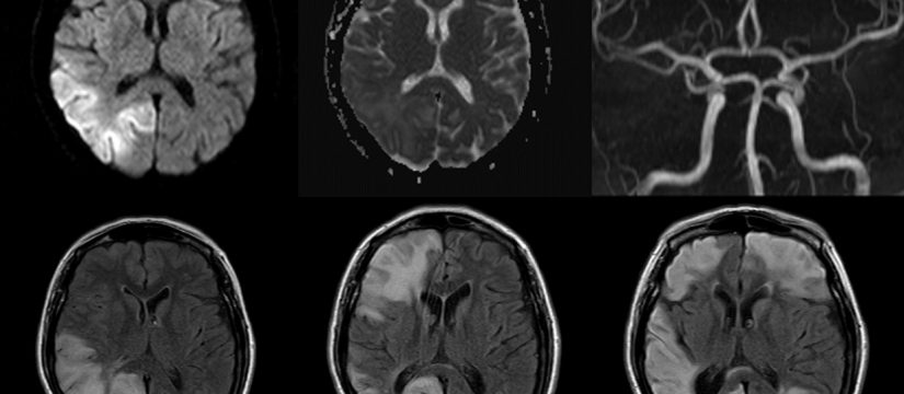
Varón de 40 años con esclerosis múltiple remitente-recurrente ya conocida, que consulta por disartria de varios días de evolución.
