DATOS CLÍNICOS
Mujer, 66 años, no AMC, no FRCV. Acude a urgencias por clínica de pares craneales (V, VII, IX, X), hipoestesia izquierda, e inestabilidad fluctuante. PCR SARS-COV-2 pre-ingreso: +. Febrícula. No clínica respiratoria. Rx torácica normal.HALLAZGOS RADIOLÓGICOS
Tipo de prueba:TC y RM
Descripción de hallazgos:
TC de urgencias. Normal, sin hallazgos patológicos relevantes.
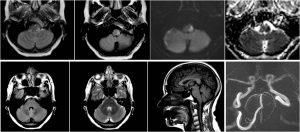
RM durante ingreso en NRL. Focalidad hiperintensa en T2 y FLAIR con restricción de la difusión en bulbo postero-lateral izquierdo. Ausencia de flujo en arteria vertebral izquierda intracraneal. Resto de exploración normal.
IMÁGENES
DIAGNÓSTICO
Descripción:TC. Tc craneal sin contraste sin hallazgos patológicos valorables a nivel infra ni supratentorial.
RM. Fila superior: Focalidad hiperintensa en T2 y FLAIR con restricción de la difusión (b1000 y ADC) en bulbo postero-lateral izquierdo: compatible con infarto agudo. Fila inferior: Secuencias axiales FLAIR y T2 a nivel del tronco y sagital T1 en linea media sin hallazgos patológicos valorables que sugieran rombencefalitis. AngioRM Phase-Contrast: ausencia de flujo en arteria vertebral izquierda intracraneal.
Clasificación:Complicaciones NRL en paciente con Covid-19


