Autores
- Mena Clavelis, Marialaura
- Castella Malonda, Jaime
- Mazon Momparler, Miguel
- Hospital Universitario y Politécnico la Fe
Historia Clínica
Mujer de 28 años, que acude a urgencias con cefalea, vómitos, caídas frecuentes y visión borrosa.
Antecedentes: Sin antecedentes de interés.
Examen físico: GCS15, dismetría, no paresia facial, no afectación de pares bajos. Vía motora íntegra.

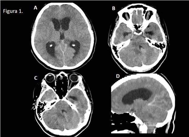
Figura 1: TC secuencial de cráneo sin CIV (A y B) y con CIV (C y D).
Lesión focal sólida en hemisferio cerebeloso derecho, isodensa al parénquima, que muestra pequeños focos hiperdensos en su interior sugestivos de microcalcifcaciones, con efecto masa muy significativo sobre el parénquima adyacente. La lesión comprime el IV ventrículo y condiciona hidrocefalia obstructiva tetraventricular, obliteración de surcos cerebrales y herniación de las amígdalas cerebelosas a través del agujero magno.
Tras la administración de contraste iv, no se objetivan realces significativos.
Figura 2: RM cerebral. Lesión expansiva en hemisferio cerebeloso derecho. Es discretamente hiperintensa en T2, con folias engrosadas con un patrón de apariencia tigroide/estriado.
No presenta restricción de la difusión ni captación de contraste.
DIAGNÓSTICO
Enfermedad de Lhermitte-Duclos (gangliocitoma cerebeloso displásico).
El paciente se intervino quirúrgicamente y se confirmó por AP.
Es un tumor raro del cerebelo que aparece como engrosamiento y aumento de la señal T2 de la folia cerebelosa, lo que le da a esta lesión un aspecto estriado característico. Se presentan típicamente en adultos jóvenes y clínicamente pueden ser asintomáticos o sólo presentarse con signos cerebelosos como dismetría. Cuando son más grandes, los síntomas se relacionan típicamente con aumento de la presión intracraneal e hidrocefalia obstructiva.
El diagnóstico diferencial es muy poco, por lo característico de la lesión. En el contexto de sepsis o deterioro agudo, se debe considerar la cerebelitis o el infarto cerebeloso subagudo.
BIBLIOGRAFÍA
Klisch J, Juengling F, Spreer J et-al. Lhermitte-Duclos disease: assessment with MR imaging, positron emission tomography, single-photon emission CT, and MR spectroscopy. AJNR Am J Neuroradiol. 2001;22 (5): 824-30.
Deja una respuesta
Lo siento, debes estar conectado para publicar un comentario.
