Autores
- Rebeca Gil Vallano ([email protected])
- Fernando García Martínez ([email protected])
- Beatriz Gutiérrez Martínez ([email protected])
- José Martínez Checa- Guiote ([email protected])
- Hospital Universitario La Paz.
Historia Clínica

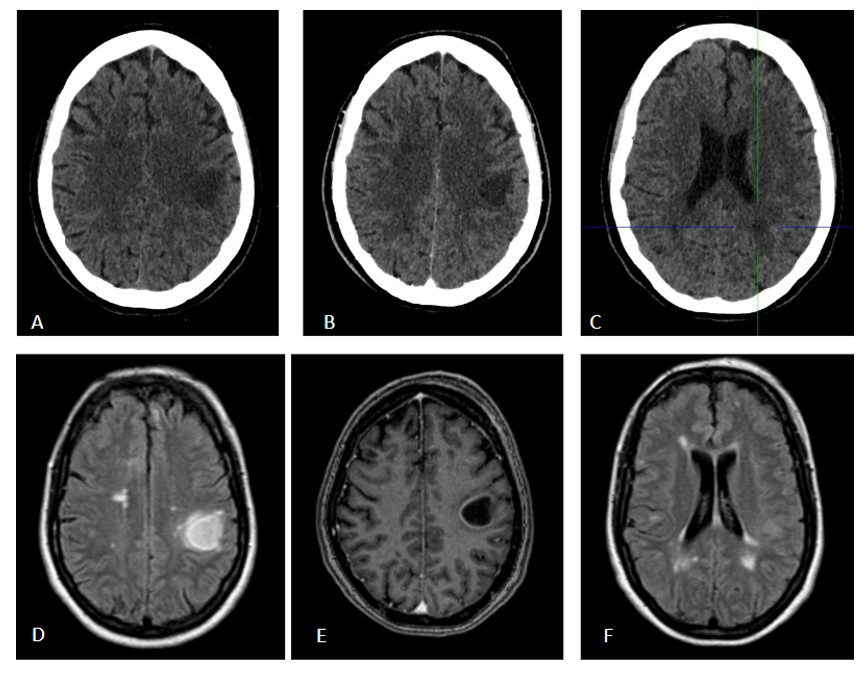
(A y C) Cortes axiales de TC de cráneo sin contraste (B) Corte axial de TC de cráneo con contraste en fase parenquimatosa. Identificamos una lesión focal intraparenquimatosa parietal izquierda, hipodensa, de bordes mal definidos, con leve efecto de masa sobre los surcos de la convexidad, de aproximadamente 23 x 27 mm (AP x T). Tras la administración de contraste (B) presenta un tenue realce lineal de contraste periférico, en forma de anillo incompleto, siendo más marcado en la vertiente más interna de la lesión. (C) Se objetivan en la sustancia blanca supratentorial otras imágenes pseudonodulares, hipodensas y menor tamaño, con ausencia de captación de CIV.
(D y F) RM de cráneo, secuencias axiales FLAIR pre-contraste. Se visualizan múltiples lesiones hiperintensas en FLAIR y en resto de secuencias con TR largo (no mostradas), con distribución predominantemente periventricular y yuxtacortical (más de 30 lesiones supratentoriales), la de mayor tamaño de aspecto nodular en sustancia blanca yuxtacortical- subcortical de región postcentral izquierda, con hiperseñal central en FLAIR y fino anillo periférico hipointenso, muestra un pequeño halo de edema perilesional vasogénico. (E) RM de cráneo, secuencia axial T1 tras administración de contraste; la lesión focal postcentral izquierda, muestra un realce periférico, «en anillo incompleto», con predominio del realce en su vertiente más medial, lo que sugiere actividad inflamatoria activa. Hallazgos sugestivos de lesión tumefactiva de tipo desmielinizante, el resto de lesiones no muestran captación de contraste.
DIAGNÓSTICO: LESIÓN TUMEFACTIVA DESMIELINIZANTE.
Las lesiones tumefactivas desmielinizantes seudotumorales presentan un reto diagnóstico, dado que tanto la clínica como la presentación radiológica se superponen a los hallazgos de procesos tumorales o inflamatorios-infecciosos. Constituyen un espectro raro de la enfermedad desmielinizante habitualmente monofásico y autolimitado.
La resonancia magnética es la mejor modalidad de imagen para el diagnóstico de desmielinización tumefactiva. Los hallazgos en RM que sugieren una lesión seudotumoral desmielinizante son:
1. Lesiones focales de predominio en localización frontal y parietal (41–74%)
2. En secuencias T2 presenta un anillo hipointenso (48%), con leve o ausente efecto de masa y leve o ausente edema perilesional.
3. Realce tras el contraste en forma de anillo incompleto hacia la sustancia gris (38%). En un porcentaje menor presenta un anillo de realce completo (18%) o un realce heterogéneo y parcheado, irregular y difuso, o en bola de algodón.
4. Venas parenquimatosas dilatadas englobadas en la lesión (los tumores las desplazan).
5. Perfusión disminuida y espectroscopía con elevación de los picos glutamato/glutamina, que está ausente en procesos neoplásicos agresivos.
El diagnóstico diferencial incluye los abscesos cerebrales, tumores cerebrales primarios, metástasis cerebrales, linfoma cerebral, la encefalopatía multifocal progresiva, la encefalomielitis aguda diseminada, las vasculitis y la sarcoidosis entre otras.
Bibliografía:
A Review of Clinical and Imaging Findings in Tumefactive Demyelination.Mariko Nakayama, Shotaro Naganawa, Michelle Ouyang, Karra A. Jones … Show all. https://doi.org/10.2214/AJR.
Lesiones Tumefactivas Desmielinizantes Pseudotumorales. A. M. Benitez Vazquez, N. Fernandez Garcia, A. Alvarez Vazquez, E. Santamarta Liebana, A. Saiz Ayala, C. Pereira Menéndez; Oviedo/ES. Recuperado a partir de https://epos.myesr.org/poster/
Distinguishing Tumefactive Demyelinating Lesions from Glioma or Central Nervous System Lymphoma: Added Value of Unenhanced CT Compared with Conventional Contrast-enhanced MR Imaging Dae Sik Kim, Dong Gyu Na, Keon Ha Kim, Ji-hoon Kim, Eunhee Kim, Bo La Yun, and Kee-Hyun Chang. Radiology 2009 251:2, 467-475
Deja una respuesta
Lo siento, debes estar conectado para publicar un comentario.
