Autores
- Tomás Fernández Rovira 1
- Sergio Jiménez Serrano 1
- Paloma Martínez Sebastia 2
- Helena Font Sola 1
- Sofía González Ortiz 1
- 1 Hospital Clinic, Barcelona
- 2 Hospital Universitario Dr. Peset, Valencia
- Correspondencia: [email protected]
Historia Clínica
Consulta por otalgia y dolor ocular, fiebre hasta 38.5º, vómitos e hipoestesia mandibular derecha. Se realiza TC orbitario demostrando celulitis preseptal y sinusopatía inflamatoria aguda derecha. Inicia tratamiento antibiótico EV con mala respuesta. Se repite TC orbitario.
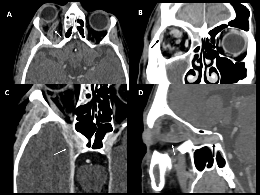
Imagen A: TC con contraste, plano axial. Exoftalmos y defecto de repleción con ingurgitación de una vena oftálmica (flecha).
Imagen B: TC con contraste, plano coronal. Aumento de densidad a nivel intraorbitario extraconal (flecha), con amplio contacto con la pared lateral de la órbita.Trabeculación de la grasa intraconal.
Imagen C: TC con contraste, plano axial. Asimetría del seno cavernoso derecho, expandido (flecha), con hipodensidad de morfología lineal en su interior.
Imagen D: TC con contraste, plano sagital oblicuo. Defecto de repleción con ingurgitación de la vena oftálmica (flecha blanca) y del seno cavernoso (flecha negra).
Diagnóstico.
Dg: Celulitis postseptal complicada con trombosis de vena oftálmica y del seno cavernoso, y absceso intraorbitario extraconal.
La celulitis orbitaria postseptal es una entidad grave que se asocia a múltiples complicaciones locales e intracraneales, con posibilidad de pérdida irreversible de la visión, trombosis venosa, meningitis, cerebritis, etc. El diagnóstico entre celulitis preseptal y postseptal es de especial importancia en cuanto al manejo y posibilidad de complicaciones. La valoración de la anatomía retrocular es compleja clinicamente, debiendo recurrir a la imagen, siendo el TC con contraste la prueba de elección por su disponibilidad.
La trombosis de venas oftálmicas es una complicación local de origen séptico, secundario a la estasis venosa. Las venas oftálmicas presentan comunicación directa con el seno cavernoso, por lo que siempre se deben evaluar ambas estructuras de forma conjunta.
La trombosis de seno cavernoso de origen séptico es una patología rara, aunque grave ya que condiciona alta morbimortalidad, sobre todo por las complicaciones intracraneales que presenta.
A nivel intracraneal la valoración de las meninges y espacio extra-axial adyacente (para valorar posibles meningitis, cerebritis, abscesos) se debe realizar de forma exhaustiva, ya que los hallazgos suelen ser sutiles y condicionan cambios drásticos en el manejo y pronóstico de los pacientes.
Las colecciones orbitarias (absceso subperióstico, miositis abscesificada) requieren drenaje quirúrgico.
Diagnóstico Diferencial:
Considerar diagnóstico diferencial entre:
Fístula carótido-cavernosa: Venas oftálmicas aumentadas de calibre secundarios a a aporte arterial, con aumento de tamaño del seno cavernoso, así como proptosis y aumento del diámetro de la musculatura conal. Puede asociar hemorragias intracraneales de forma secundaria. En fase arterial se puede valorar contraste en venas oftálmicas.
Hemangioma de seno cavernoso: expansión del seno cavernoso, con mayor captación de contraste en el TC. Podría ser incidental o provocar compresión de pares craneales/hipófisis. La RM es muy útila para valoración de masas en seno cavernoso.
Trombosis «primaria» de venas/seno cavernoso: rara la afectación primaria en estados de hipercoagulabilidad (uso de anticonceptivos, trombofilias, embarazo, malignidad). Valorar el resto de senos venoso durales intracraneales es de utilidad ya que es más frecuente esta localización.
Síndrome Tolosa-Hunt: raro, de exclusión. Hay inflamación del seno cavernoso que condiciona oftalmoplejia, pero en TC hay aumento de tamaño del seno cavernoso afecto, con aumento del realce y estenosis de la art. carótida interna.
Bibliografía:
Jonathan T Caranfa. Septic cavernous sinus thrombosis: A review. Surv Ophthalmol 2021 Nov-Dec;66(6):1021-1030. doi: 10.1016/j.survophthal.2021.03.
Theodora Tsirouki. Orbital cellulitis. Surv Ophthalmol 2018 Jul-Aug;63(4):534-553. doi: 10.1016/j.survophthal.2017.12.
Mathieu H. Rodallec. Cerebral Venous Thrombosis and Multidetector CT Angiography: Tips and Tricks. Published Online:Oct 1, 2006 https://doi.org/10.1148/
Deja una respuesta
Lo siento, debes estar conectado para publicar un comentario.
