Autores
- Jorge El-Khatib Núñez ([email protected])
- Beatriz Brea Álvarez
- Javier San Miguel Espinosa
- HOSPITAL UNIVERSITARIO PUERTA DE HIERRO MAJADAHONDA
Historia Clínica
ENFERMEDAD ACTUAL
Acude a consulta por color intenso en columna baja y pelvis
Realización previa de radiofrecuencia e infiltración del plexo sacrococcígeo Se solicita RM de columna lumbar y pelvis y posteriormente gammagrafía de la médula ósea con nanocoloides marcados con 99mTc

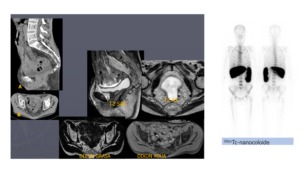
Figura 1. RM y TC pélvico: Ocupación del espacio presacro por una lesión lobulada de aspecto encapsulado de 5 cm, discretamente heterogénea, con un contenido fundamentalmente graso. La lesión se apoya en la cortical anterior del sacro sin signos de destrucción ni infiltración ósea.
Figura 2. Gammagrafía de la médula ósea tras administración de 99mTc-nanocoloide de albúmina:
Captación fisiológica hepatoesplénica y en la médula ósea, sin captación de la lesión presacra.
Diagnóstico.
Mielolipoma presacro. Se trata de un tumor mesenquimal benigno formado por tejido adiposo maduro y células hematopoyéticas. La localización más frecuente es suprarrenal pero hasta un 15% son extraadrenales.
Su aspecto característico es el de una lesión encapsulada de contenido mixto con componente predominante graso macroscópico. Puede verse hemorragia y calcificaciones en TC. En la RM el componente graso tiene hiperseñal en T1 y T2 con pérdida de señal en secuencias de supresión grasa. Tras administración de gadolinio puede existir realce de su componente de partes blandas (no administrado en nuestra paciente por insuficiencia renal).
El diagnóstico diferencial se plantea con la hematopoyesis extramedular (HEM). La HEM es un fenómeno compensatorio generalmente secundario a procesos hematológicas que cursen con una hematopoyesis ineficaz (talasemia, anemia falciforme, deficiencia de vitamina B12/folato, mielofibrosis…). Puede comportarse radiológicamente muy similar al mielolipoma pero existen algunas diferencias descritas. El componente hematopoyético en la HEM suele predominar sobre el graso. Además es muy frecuente que muestre captación patológica en la gammagrafía ósea con 99mTc-nanocoloide.
El liposarcoma es el segundo diagnóstico que debe contemplarse, ya que es la lesión retroperitoneal con contenido graso más frecuente en el adulto. No obstante los liposarcomas no suelen localizarse en la línea media presacra y habitualmente se presentan a más altura en el retroperitoneo. Además su aspecto suele ser más infiltrativo y rara vez muestran una cápsula.
Otra consideración adicional debe hacerse con el teratoma, lesiones que suelen darse en personas jóvenes y habitualmente muestran calcificaciones.
Bibliografía:
Littrell, Laurel & Carter, Jodi & Broski, Stephen & Wenger, Doris. (2017). Extra-adrenal Myelolipoma and Extramedullary Hematopoiesis: Imaging Features of Two Similar Benign Fat-Containing Presacral Masses That May Mimic Liposarcoma. European Journal of Radiology. 93. 10.1016/j.ejrad.2017.05.039.
Guillaume, Laurent MD∗; Vander Borght, Thierry MD, PhD∗; Bertrand, Claude MD†; Dupont, Michael MD‡; Krug, Bruno MD, PhD∗ Presacral Myelolipoma, Clinical Nuclear Medicine: January 2021 – Volume 46 – Issue 1 – p 38-39 Hain KS, Pickhardt PJ, Lubner MG, Menias CO, Bhalla S. Presacral Masses: Multimodality Imaging of a Multidisciplinary Space. RadioGraphics. 2013 Jul;33(4):1145–67.
Lee, Jonghun John, et al. “Presacral Myelolipoma: Diagnosis on Imaging with Pathologic and Clinical Correlation.” American Journal of Roentgenology, vol. 207, no. 3, Sept. 2016, pp. 470–481
Deja una respuesta
Lo siento, debes estar conectado para publicar un comentario.
