Autores
- Joaquín J. Barjau ([email protected])
- Yoselin Verónica dos Santos Poleo
- Juan Carlos Rodríguez Matos
- Pedro del Valle Rodríguez Flores
- Lorenzo Isamel Pérez-Sánchez
- Hospital general de Segovia
Historia Clínica

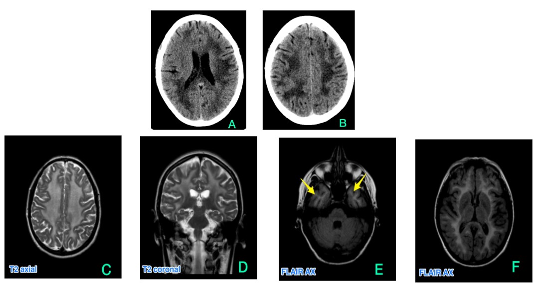
TC de cráneo, cortes axiales (Imágenes A y B). Se observa hipodensidad de la sustancia blanca subcortical de forma generalizada y bilateral. En base a estos hallazgos se pide una RM.
Imágenes de resonancia magnética. Se observa alteración de la intensidad de señal de la sustancia blanca supratentorial y en menor grado en región posterior de la protuberancia y pedúnculo cerebeloso medio derecho (no evidenciado en estas imágenes). La afectación presentaba una distribución extensa, bilateral, y en general simétrica con afectación de todos los lóbulos cerebrales. No mostraba realce tras la inyección de gadolinio IV y respetaba las fibras en U (imágenes C, D, E, F y G)
Diagnóstico.
Encéfalopatía asociada al VIH.
Los hallazgos encontrados en TC y RM son compatibles con encéfalopatía asociada al VIH, que es la entidad neurológica más frecuente en la infección por VIH. Se manifiesta como un trastorno cognitivo moderado a pesar de la buena respuesta a la terapia. Los síntomas más frecuentes son: demencia subcortical con defectos cognitivos, motores y conductuales, así como trastornos de la marcha. Los factores de riesgo para su aparición son: CD4 < 200, alta carga viral e infección por VIH de larga duración.
Las características radiológicas (TC y RM) no son específicas y consisten en:
Atrofia desproporcionada para la edad.
Afectación bilateral y simétrica de la sustancia blanca periventricular y profunda (sustancia gris respetada), hiperintensa en T2 / FLAIR e hipodensa en el TC; con relativo respeto de las estructuras de fosa posterior.
Lesiones parcheadas o confluentes.
No efecto masa.
No realce tras contraste.
La gravedad de estos pacientes está relacionada con la carga viral. En este caso se cambió el tratamiento antirretroviral con mejoría clínica y de los parámetros de carga viral.
El principal diagnóstico diferencial en estos pacientes será con la leucoencefalopatía multifocal progresiva (LMP). Esta es una enfermedad desmielinizante severa secundaria a la infección por el poliomavirus JC. El principal factor de riesgo es CD4 < 100. En estos pacientes se observa afectación asimétrica de la sustancia blanca periventricular y subcortical (hipodensidad en TC, hiperintensidad de señal en secuencias T2 / FLAIR en RM), afectación de las fibras en U subcorticales (con predilección de la región parietooccipital), lesiones múltiples, pueden asociar realce tras la administración de contraste, leve efecto de masa y restricción en anillo en las secuencias de difusión. Estos pacientes tienen mal pronóstico y si no son tratados, fallecen antes del año.
Bibliografía:
1. A.B. Smith, J.G. Smirniotopoulos, E.J. Rushing. Central Nervous System Infections Associated with Human Immunodeficiency Virus Infection: Radiologic-Pathologic Correlation. Radiographics 2008; 28:2033-2058
2. R.M. Levy, V. Rothholtz. HIV-1-related neurologic disorders. Neuroimaging Clin N Am. 1997; 7: 527-559
3. Grossman&Yousem. Neurorradiología. 2007 Marbán libros.
Deja una respuesta
Lo siento, debes estar conectado para publicar un comentario.
