Autores
- Francisco Fernández Valverde
- Manuel Ramos Gómez
- Elisa Roldan Romero
- Francisco de Asís Bravo Rodríguez
- Centro de trabajo : Hospital Universitario Reina Sofía de Córdoba
- Correo electrónico : [email protected]
Historia Clínica

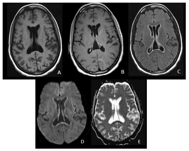
Secuencias en plano axial T1 sin contraste (A), T1 con contraste (B), FLAIR post-contraste (C), difusión (D) y ADC (E). Se aprecia, tras la administración de contraste, un realce ependimario generalizado, no nodular (A, B y C), que además muestra restricción a la difusión, con hiperintensidad en secuencia de difusión e hipointensidad en ADC (D y E)
Diagnóstico.
Encefalitis por Citomegalovirus en paciente VIH.
Es una infección oportunista actualmente poco frecuente debido a la eficacia de la terapia antirretoroviral, que se presenta en pacientes VIH con inmunosupresión severa (células CD4<50/mm3).
Las manifestaciones clínicas suelen ser inespecíficas, siendo las más frecuentes la desorientación y la confusión, seguidas de apatía, bradipsiquia y cefalea. Es frecuente la infección concomitante en otras localizaciones, principalmente retinitis.
Existen varias formas de presentación radiológica, tales como lesiones en sustancia blanca periventricular hiperintensas en T2 y FLAIR que pueden mostrar realce tras contraste, pequeño nódulos periependimarios que restringen en difusión o un realce ependimario, siendo especialmente característico éste último.
Aunque los hallazgos de imagen pueden ayudar en gran medida a la aproximación diagnóstico del caso, el diagnóstico definitivo viene dado por una PCR+ a CMV en el líquido cefalorraquídeo (confirmado en nuestro caso)
El diagnóstico diferencial en pacientes VIH con inmunosupresión severa habría que realizarlo con el linfoma cuando su localización es preferentemente periventricular y con meningo-ventriculitis secundarias a otros gérmenes, donde suelen existir hallazgos asociados tales como hiperintensidad de surcos cerebrales en secuencias postcontraste (especialmente FLAIR) o contenido en el interior del sistema ventricular con marcada restricción a la difusión.
El tratamiento de elección es el ganciclovir.
BIBLIOGRAFÍA:
Kevin John John. Cytomegalovirus ventriculoencephalitis presenting with hydrocephalus in a patient with advanced HIV infection. Oxford Medical Case Reports. 2019; 10: 443-446
Encephalitis to Cytomegalovirus in patients with acquired inmunodeficiency syndrome. F. Andrés. Rev. urug. med. interna. 2017; 3: 61-69
Cytomegalovirus Encephalitis : Undescribed diffusion-weighted imaging characteristics. Original aspects of cases extracted from a retrospective study, and from literatura review. Thibaut Renard . J. Neuroradiol. 2016; 43(6): 371-377
Deja una respuesta
Lo siento, debes estar conectado para publicar un comentario.
