Caso del mes mayo 2023

Autores

  • Cesar Zabaleta, Naual Hatamleh, Paula Sarnagiotto
  • Departamento de Neurorradiología
  • CENTRO ROSSI. BUENOS AIRES, ARGENTINA
  • Correspondencia: [email protected]

Historia Clínica

Paciente femenina de 54 años con cuadro clínico de varias semanas de evolución consistente en cefalea leve, intermitente, de pocos minutos de duración, tornándose recurrente en la ultima semana sin aparente sintomatología asociada ni focalización neurológica al examen físico.
Como antecedente presenta hipertensión arterial controlada.


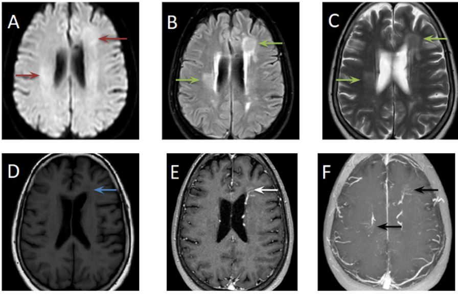
(A) Axial DWI. Se identifican lesiones no restrictivas (flechas rojas). Axial FLAIR (B) y T2 (C). Se observan dos imágenes de aspecto pseudonodular hiperintensas (flechas verdes) a nivel periventricular derecho y frontal izquierdo e hipointensas (flecha azul) T1 (D). Estas lesiones muestran realce al gadolinio de la vasculatura venosa que drena en la vena colectora, configurando el signo de la cabeza de Medusa (flecha blanca) (E) y RM axial MIP (flechas negras) (F).

Diagnóstico.

Anomalía del desarrollo venoso asociado a congestión venosa.
Antecedentes: Es una malformación congénita de las venas que drenan el cerebro normal con una asociación poco común de congestión venosa que simula una lesión pseudonodular.
Presentación clínica: Pueden estar asociado con síntomas de forma poco frecuente y estos generalmente asociados a hemorragia o infarto intracraneal y en menor medida a epilepsia y déficit neurológico focal.
Características diagnósticas clave: Rara vez se identifican en la TC sin contraste. La resonancia magnética ponderada en T1 y T2 sin contraste puede demostrar vacíos de flujo y artificios de cambio de fase producidos por la vena colectora. Se puede ver una señal T2/FLAIR alta en la sustancia blanca adyacente que simula una lesión pseudonodular. Con la administracion de gadolinio, el grupo de venas tiene una apariencia de rueda de radios, las venas son pequeñas en la periferia y se agrandan gradualmente a medida que se acercan a una vena de drenaje central. Esta apariencia se ha denominado caput medusae o cabeza de Medusa.
Diagnóstico diferencial:
– Esclerosis múltiple tumefacta: Las lesiones desmielinizantes tumefactas constituyen una presentación única de enfermedad desmielinizante que con frecuencia simula una neoplasia intracraneal, una infección u otra. Los hallazgos de la RM incluyen realce en anillo abierto o incompleto al gadolinio, un borde hipointenso en T2, efecto de masa y edema perilesional leve o ausente.
– Metástasis: A menudo demuestra una intensidad de señal heterogénea central con hipointensidad periférica en imágenes potenciadas en T2 y realce periferico completo con la administración de gadolinio.
– Abscesos cerebrales: Comúnmente tienen un borde hipointenso completo en las imágenes ponderadas en T2, hiperintensidad en las imágenes ponderadas en difusión y un realce periferico completo en las imágenes con gadolinio.
– Linfoma primario del sistema nervioso central: En las imágenes de RM ponderadas en T1 sin contraste, las lesiones suelen ser hipo o isointensas, y en las imágenes de RM ponderadas en T2, de iso a hiperintensas. La mayoría de las lesiones presentan realce con gadolinio de moderado a marcado.
Tratamiento
: Por lo general no requieren manejo alguno, salvo muy raras excepciones.

BIBLIOGRAFÍA:
Choi Y, Jang J, Nam Y, Shin NY, Choi HS, Jung SL, Ahn KJ, Kim BS. Relationship between Abnormal Hyperintensity on T2-Weighted Images Around Developmental Venous Anomalies and Magnetic Susceptibility of Their Collecting Veins: In-Vivo Quantitative Susceptibility Mapping Study. Korean J Radiol. 2019 Apr;20(4):662-670. doi: 10.3348/kjr.2018.0685. PMID: 30887748; PMCID: PMC6424825.
Gökçe E, Acu B, Beyhan M, Celikyay F, Celikyay R. Magnetic resonance imaging findings of developmental venous anomalies. Clin Neuroradiol. 2014 Jun;24(2):135-43. doi: 10.1007/s00062-013-0235-9. Epub 2013 Nov 17. PMID: 24240482.

Deja una respuesta