Autores
- Paula Sobral Viñas (mail: [email protected])
- Eloísa Santos Armentia
- Hospital Ribera Povisa, Vigo
Historia Clínica
Antecedentes personales: Dislipemia y fibrilación auricular permanente no anticoagulada.
Motivo de consulta: Cuadro brusco de disminución del nivel de consciencia con Glasgow 4, con respuesta únicamente a estímulos dolorosos.

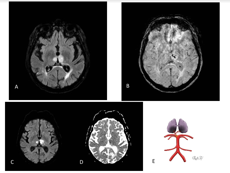
A: Secuencia FLAIR axial, donde existe hiperintensidad de señal de la superficie medial de ambos tálamos.
B: Secuencia de susceptibilidad magnética axial, con presencia de microhemorragias puntiformes en el tálamo izquierdo.
C Y D: Secuencias axiales de difusión b=1000 (C) y mapa de ADC (D), donde se observa restricción de la difusión.
E: Esquema de una posible variante anatómica de la irrigación del tálamo.
Diagnóstico.
SÍNDROME DE PERCHERON
En las imágenes de RM se muestran hallazgos compatibles con infartos isquémicos agudos en la región medial de ambos tálamos, con transformación hemorrágica petequial.
Al tratarse de infartos en territorios bilaterales se plantea como primera posibilidad un síndrome de Percheron, manifestándose como un ictus cardioembólico secundario a la fibrilación auricular no anticoagulada que presentaba la paciente, lo que explicaría la afectación sincrónica de ambos territorios vasculares.
El síndrome de Percheron consiste en un infarto talámico bilateral por obstrucción de la arteria de Percherón, variante anatómica de la vascularización del territorio posterior (presente en el 4-12% de la población), donde la irrigación de los dos tálamos proviene de la misma arteria cerebral posterior de forma unilateral.
Diagnóstico diferencial:
Trombosis de las venas cerebrales internas
Trombo en el top de la basilar: se afectan los territorios irrigados por las arterias cerebral posterior, cerebelosa superior y pontina.
Encefalopatía de Wernicke.
Intoxicación por monóxido de carbono
Tratamiento: dado que es un infarto de territorio posterior se puede plantear rtPA y/o trombectomía en función del tiempo de evolución, y en caso de haber pasado 24 horas anticoagulación/antiagregación.
BIBLIOGRAFÍA:
Lazzaro NA, Wright B, Castillo M et-al. Artery of percheron infarction: imaging patterns and clinical spectrum. AJNR Am J Neuroradiol. 2010;31 (7): 1283-9.
Arauz A, Patiño-Rodríguez HM, Vargas-González JC et-al. Clinical Spectrum of Artery of Percheron Infarct: Clinical-Radiological Correlations. J Stroke Cerebrovasc Dis. 2014;23(5):1083-8.
Niazi F, Naeem SB. Artery of Percheron Infarct: ARarity Not to be Missed. J Coll Physicians Surg Pak. 2017 Sep;27(9):577-578
Deja una respuesta
Lo siento, debes estar conectado para publicar un comentario.
