Autores
- Brigitte Beltrán Mármol (IMI-Parc de Salut Mar, Barcelona)
Historia Clínica

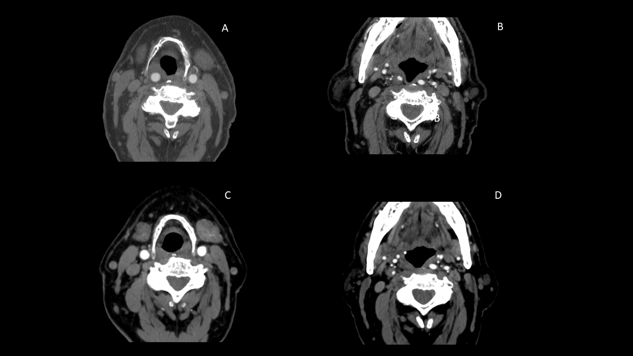
ig. A-B. AngioTC inicial muestra trayecto retrofaríngeo de arteria carótida común (a la altura de hiodes) e interna derecha (improntando pared posterior faríngea derecha).
Fig. C-D. AngioTC de control que muestra lateralización de arteria carótida común e interna derecha (con desaparición del trayecto retrofaríngeo). Además existe progresión del grado de estenosis.
Diagnóstico.
Carótida errante. El trayecto retrofaringeo de arterias carótidas es una variante anatómica clínicamente importante. Las posibles causas incluyen alteraciones congénitas, incremento de la tortuosidad con la edad y alteración degenerativa de la alineación cervical (cifosis)1-2.
El trayecto retrofaríngeo carotídeo es hallazgo relevante en casos de cirugía o biopsia de cuello y en intubaciones endotraqueales3-4.
La variación desde la posición retrofaríngea hacia una lateral es un fenómeno descrito (6.3%)1. Posibles explicaciones incluyen las variaciones del diámetro de pared faríngea y posición de hioides durante el ciclo respiratorio o la deglución.
BIBLIOGRAFÍA:
Lukins et al. The Moving Carotid Artery: A Retrospective Review of the Retropharyngeal Carotid Artery and the Incidence of Positional Changes on Serial Studies. AJNR Am J Neuroradiol. 2016 Feb;37(2):336-41
Kobayyashi et al. Medialization of Common Carotid Artery Is Associated with Cervical Kyphosis, Spine Surg Relat Res. 2021; 5(3): 144–148.
Steinl et al. Variations in the Course of the Carotid Arteries in Patients with Retropharyngeal Parathyroid Adenomas, AJNR Am J Neuroradiol. 2021 Apr;42(4):749 752
Wan-Ping Zhu. Retropharyngeal internal carotid artery: a potential risk factor during nasotracheal intubation. Surg Radiol Anat. 2021 Nov;43(11):1769-1776
Deja una respuesta
Lo siento, debes estar conectado para publicar un comentario.
