Autores
- Carlota García de Andoin Sojo
- Juan José Gómez Muga
- Lander Antón Méndez
- Itziar Aza Martínez
- María de Mar Sarmiento de la Iglesia
- Hospital Universitario de Basurto
- [email protected]
Historia Clínica

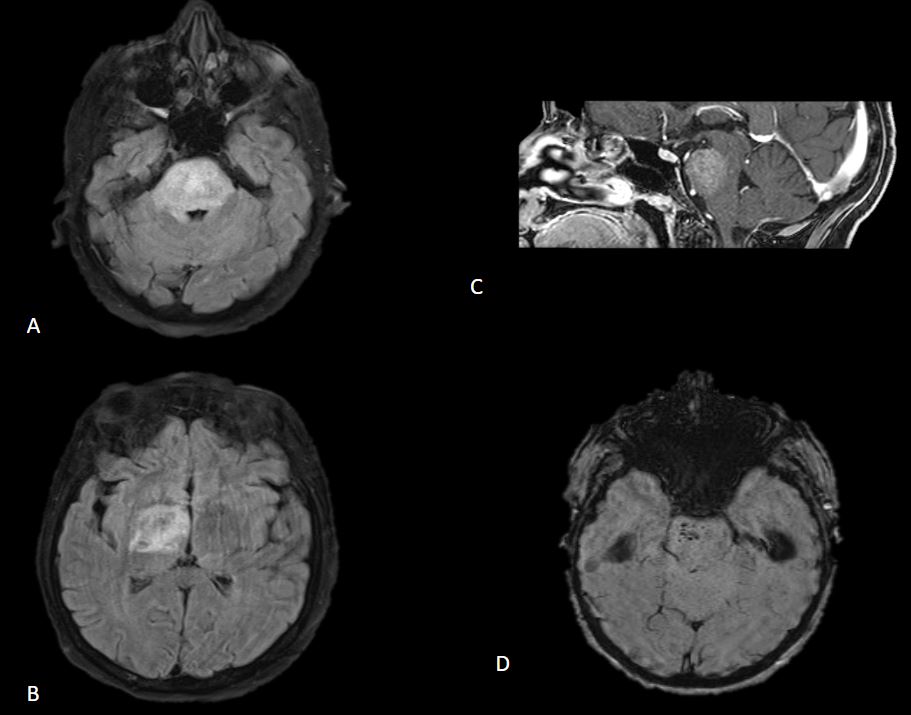
RM cerebral: Extensa lesión hiperintensa de aspecto tumefacto en secuencia T2-Flair que afecta a la totalidad de la protuberancia y se extiende a tálamo derecho (A y B). La lesión presenta tenue realce difuso en secuencia T1 con gadolinio (C). Se observan focos de hemorragia puntiforme protuberancial asociados en secuencia de susceptibidad magnética (D).
Diagnóstico.
Leucoencefalitis aguda hemorrágica o Síndrome de Weston Hurst.
Enfermedad esporádica desmielinizante muy poco frecuente. Se trata de la forma más severa de la encefalomielitis aguda diseminada (ADEM) que consiste en una rápidamente progresiva inflamación hemorrágica fulminante de la sustancia blanca.
La enfermedad aparece en adultos jóvenes sin diferencia de sexos, a diferencia de la ADEM que ocurre con mayor frecuencia en niños menores de 15 años.
Aunque la etiología no se conoce, suele asociarse a infecciones respiratorias altas que preceden a la clínica neurológica. Asocia pleocitosis neutrofilica en líquido cefalorraquídeo, leucocitosis en sangre y puede presentarse con fiebre elevada.
El mecanismo fisiopatológico consiste en una reacción cruzada autoinmune contra antígenos de la mielina y se define por la presencia de venulitis necrotizante con hemorragias perivasculares, lesiones isquémicas difusas en el Sistema Nervioso Central y destrucción de la mielina.
La distribución de las lesiones es supra e infratentorial, bilateral y asimética, con rara afectación de la interfase calloso-septal. Las lesiones pueden afectar a sustancia blanca subcortical, tálamos, cerebelo, troncoencéfalo y medula espinal.
El diagnóstico radiológico se realiza mediante RM, en la que se observan extensas lesiones tumefactas de aspecto desmielinizante hiperintensas en T2, con menor edema del esperado para el tamaño de las lesiones, realce parcheado en secuencias T1 con gadolinio (la ausencia de realce no excluye el diagnóstico) y focos de hemorragia puntiforme hipointensos en secuencias de susceptibilidad magnética.
Aunque la mayoría de casos son fulminantes, el tratamiento empleado es corticoterapia, plasmaféresis y teraptia hiperosmolar.
Diagnóstico diferencial:
ADEM: no presenta lesiones hemorrágicas asociadas y el curso es menos hiperagudo. Comparten el resto de características radiológicas.
Esclerosis Múltiple : enfermedad de curso crónico polifásico, con lesiones de distribución diferente y que no suelen asociar hemorragias.
Trombosis venosa: existe la presencia de trombo en el sistema venoso cerebral.
Vasculitis cerebral: infartos en diferentes territorios /estadios, algunas de menor tamaño y realce de las paredes vasculares.
Encefalitis por herpes simple: estudios serológicos positivos y predilección por lóbulos temporales.
BIBLIOGRAFÍA:
Cletus Cheyuo. Case of the Month Hurst Disease: Acute Hemorrhagic Leukoencephalitis. AJNR 2015.
Sumaira Nabi. Weston-Hurst syndrome: a rare fulminant form of acute disseminated encephalomyelitis (ADEM). BMJ Cse Rep. 2016. Published online.
Ho Yun Lee. Serial MR Imaging Findings of Acute Hemorrhagic Leukoencephalitis: A Case Report. AJNR. 2005, 26 (8) 1996-1999;
Deja una respuesta
Lo siento, debes estar conectado para publicar un comentario.
