Autores
- Gloria Pérez Hernández; [email protected]
- Silvia Torres del Río; [email protected]
- Carlos Vázquez Olmos; [email protected]
- Facultativos especialistas.
- Hospital General Universitario Morales Meseguer, Murcia.
Historia Clínica
Sin antecedentes personales de interés.
Acude a Urgencias por un síncope sin pródromos y una dudosa crisis comicial.

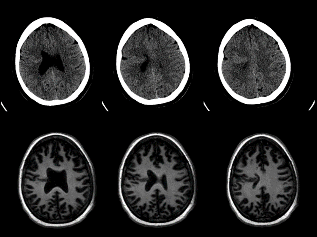
Fila superior: cortes axiales de TC de cráneo simple y Fila inferior cortes axiales de RM de cráneo en secuencia T1.
Se observa un tejido cerebral isodenso/isointenso a la sustancia gris cortical que se introduce hacia la sustancia blanca profunda del lóbulo frontal derecho, extendiéndose desde la superficie del cerebro al ventrículo lateral derecho, en el que se aprecia una pequeña muesca.
También se observa un surco dilatado en la convexidad frontal derecha que se continúa con una pequeña hendidura de densidad/intensidad similar al LCR.
Por último, se identifica una asimetría en los surcos y circunvoluciones de ambos hemisferios, así como una disgenesia del cuerpo calloso.
Diagnóstico.
La esquisencefalia (“encéfalo dividido”) de labio cerrado es una alteración de la migración neuronal que se caracteriza por una hendidura tapizada de sustancia gris que se extiende desde el epéndimo ventricular hasta la superficie pial de la corteza. La esquisencefalia puede ser de labio abierto o cerrado, así como unilaterales (60%) o bilaterales (40%).
La clínica consiste en una epilepsia refractaria al tratamiento, retraso del desarrollo y discapacidad motora. La gravedad se correlaciona con la extensión del defecto anatómico. Se asocia a displasia cortical focal, heterotopias de sustancia gris, agenesia del septum pellucidum y disgenesia cuerpo calloso. El tratamiento es sintomático, dirigido a los síntomas de la epilepsia.
Hallazgos radiológicos claves:
Evaginación de LCR en “V” que se extiende desde el ventrículo hacia la superficie pial del cerebro. Hendidura señal similar al LCR en todas las secuencias.
Revestimiento de sustancia gris displásica que cubre la hendidura, hiperdensa respecto a la sustancia blanca.
Diagnóstico diferencial:
1. Heterotopias de sustancia gris.
2. Displasia cortical focal
BIBLIOGRAFÍA:
1. Jones BV. Schizencephaly. En: Osborn AG, editor. Diagnostic Imaging Brain. 3 ed. Philadelphia: Elsevier; 2015. p. 76-79.
2. Fernández-Mayoralas DM, Fernández-Jaén A, Jiménez-De-la-Peña M, Recio-Rodríguez M, Muñoz-Jareño N, Arroyo-González R. Schizencephaly: pre- and postnatal magnetic resonance imaging. J Child Neurol. 2010 Aug;25(8):1020-3.
3. Stopa J, Kucharska-Miąsik I, Dziurzyńska-Białek E, Kostkiewicz A, Solińska A, Zając-Mnich M, Guz W, Samojedny A. Diagnostic imaging and problems of schizencephaly. Pol J Radiol. 2014 Nov 30;79:444-9.
Deja una respuesta
Lo siento, debes estar conectado para publicar un comentario.
