Autores
- Francis Astrid Garay Buitron. Residente Hospital Universitario de Bellvitge [email protected]
- Pablo Naval Baudin
- Angels Camins Simon
- Facultativos especialistas.
- Neuroradiología.Hospital Universitario de Bellvitge
Historia Clínica
Exploración física: No se observan alteraciones

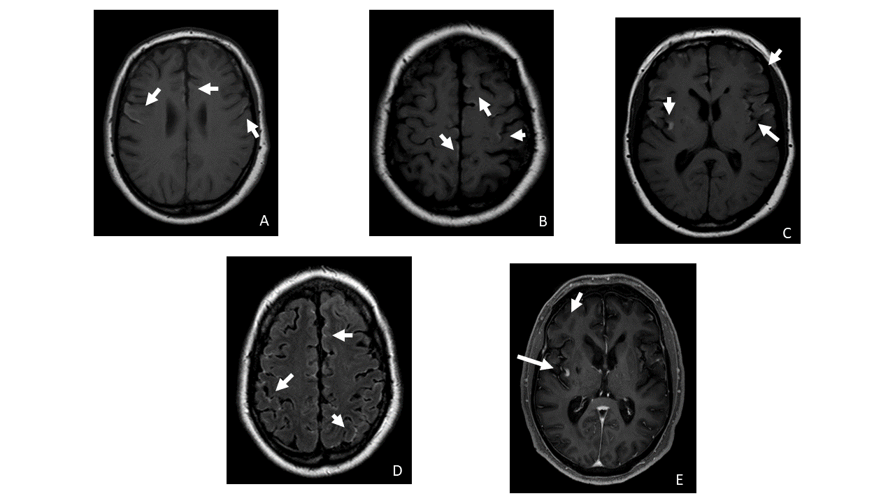
Figuras A, B y C. RM cerebral, secuencias ponderadas en T1, cortes axiales. Figura D-FLAIR axial. Áreas de hiperseñal en la superficie cortical supratentorial de los surcos y circunvoluciones de la convexidad frontal, temporal e insular bilateral
Figura E. T1 tras la administración de contraste, axial. Algunas lesiones presentan captación aunque es de difícil valoración por ser intrínsecamente hiperintensos en T1.
Diagnóstico.
Melanocitosis Meníngea
los tumores melanocíticos primarios del SNC incluyen cuatro neoplasias poco frecuentes, que se dividen según su distribución en la leptomeninge. El melanocitoma (benigna) y melanoma (maligna) son tumores circunscritos; mientras que, la melanocitois y melanomatosis tienen una distribución difusa.
La melanocitosis es una proliferación benigna de melanocitos en la leptomeninge sin invasión evidente del parénquima cerebral. La afectación se puede localizar a nivel supratentorial, infratentorial y espinal, usualmente en el cerebelo, puente, bulbo y lóbulos temporales.
Es más frecuente en niños en el contexto de melanosis neurocutánea.
Con respecto a su presentación clínica, puede ser asintomático, o presentar convulsiones, vómitos o algún déficit neurológico, y cuando asocia síntomas tiene mal pronóstico a pesar de su benignidad.
Los hallazgos radiológicos principales son el engrosamiento leptomeníngeo difuso, típicamente hiperintenso en secuencias T1 y FLAIR, hipointenso en T2, y con captación homogénea del contraste.
Las principales patologías que se incluyen en su diagnóstico diferencial son: carcinomatosis leptomeníngea, meningitis infecciosa y neurosarcoidosis.
Por último, el tratamiento está dirigido al manejo paliativo y el uso de inhibidores BRAF y de puntos de control inmunitario
BIBLIOGRAFÍA:
Liubinas SV, Maartens N, Drummond KJ. Primary melanocytic neoplasms of the central nervous system. J Clin Neurosci. 2010;17(10):1227-1232.
Küsters-Vandevelde HV, Küsters B, van Engen-van Grunsven AC, Groenen PJ, Wesseling P, Blokx WA. Primary melanocytic tumors of the central nervous system: a review with focus on molecular aspects. Brain Pathol. 2015;25(2):209-226.
Noronha C, Rocha L. Meningeal melanocytosis: a challenging diagnosis. The Lancet Oncology. 2019; 20(6).
Deja una respuesta
Lo siento, debes estar conectado para publicar un comentario.
