Autores
- Irene Díaz Mediavilla
- Juan José Gómez Muga
- María del Mar Sarmiento de la Iglesia
- Lander Antón Méndez
- Centro: Hospital de Basurto (Bilbao)
- Contacto: [email protected]
Historia Clínica
Sin otros antecedentes de interés.
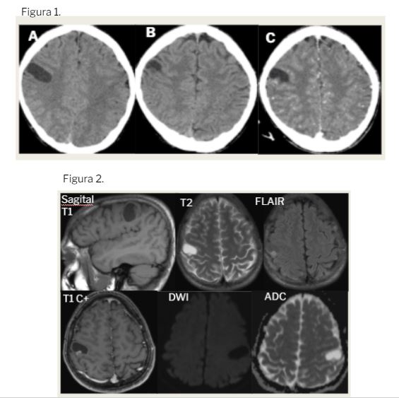
Figura 1: TC secuencial de cráneo sin CIV (A y B) y con CIV (C).
Lesión intraaxial hipodensa bien definida en giro poscentral derecho con pequeño polo sólido intramural isodenso.
Realce heterogéneo de contraste del nódulo sólido intramural. No realce de la pared del quiste.
Figura 2: RM cerebral.
Lesión con componente quístico hipointenso en T1 e hiperintenso en T2 y supresión parcial en FLAIR con nódulo intramural sólido isointenso en T1 e hiperintenso en T2-FLAIR.
T1 con Gd: captación heterogénea del nódulo sólido.
No restricción en secuencias de difusión.
Diagnóstico.
GANGLIOGLIOMA. El paciente se operó y fue confirmado por AP. Los gangliogliomas son tumores bien diferenciados, de crecimiento lento compuestos de células neoplásicas tanto gliales como neuronales. Representan entre el 0,4 al 2% de todos los tumores intracraneales y afectan fundamentalmente a niños y adultos jóvenes (pico de edad 10-20 años). Pueden aparecer en cualquier localización, siendo mucho más frecuentes en la región superficial de los hemisferios cerebrales y en la mayoría de los casos en el lóbulo temporal (50-70%). La forma clínica de presentación más frecuente es con una crisis convulsiva focal. En imagen suele presentarse como una lesión predominantemente quística con un nódulo sólido con realce variable de contraste. Puede presentar calcificaciones hasta en un 35% de los casos. No suele tener edema perilesional ni ejercer efecto masa. El diagnóstico diferencial se plantearía con otros tumores de lento crecimiento que también pueden presentarse como una lesión quística con nódulo sólido como son el astrocitoma pilocítico, xantoastrocitoma pleomórfico, hemangioblastoma o DNET.
BIBLIOGRAFÍA:
Shin, Ji Hoon, et al. «Neuronal tumors of the central nervous system: radiologic findings and pathologic correlation.» Radiographics 22.5 (2002): 1177-1189.
Castillo, Mauricio, et al. «Intracranial ganglioglioma: MR, CT, and clinical findings in 18 patients.» AJR. American journal of roentgenology 154.3 (1990): 607-612.
Deja una respuesta
Lo siento, debes estar conectado para publicar un comentario.

