Autor
- Uxue Martínez Urabayen ([email protected])
- Juan José Gómez Muga
- María del Mar Sarmiento de la Iglesia
- Lander Antón Méndez
- Hospital Universitario Basurto (Bilbao)
Historia Clínica
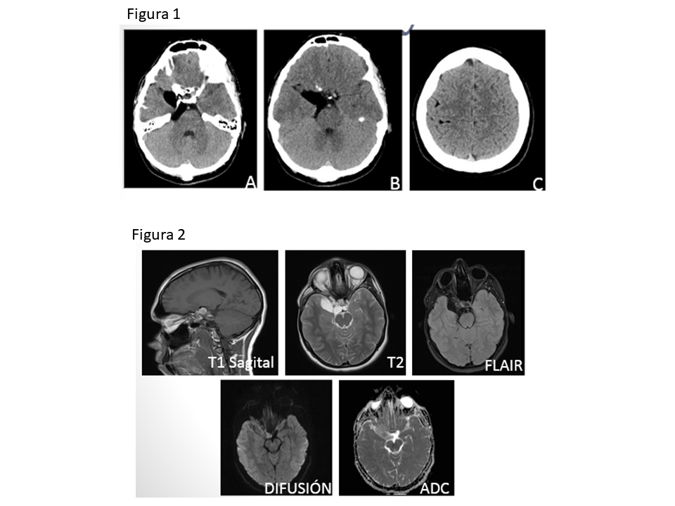
Figura 1: TC secuencial de cráneo sin contraste intravenoso. Cortes en plano axial.
A y B: Lesión quística de densidad grasa en cisterna prepontina derecha que se extiende hacia la fosa craneal media y seno cavernoso.
C: Lesiones de densidad grasa de pequeño tamaño en el espacio subaracnoideo, adyacentes a surcos hemisféricos bilaterales, más llamativos a nivel frontal derecho.
Figura 2: RM cerebral.
Masa que ocupa la cisterna perimesencefálica, de bordes bien definidos que se extiende hacia fosa craneal media. Es hiperintensa en T1 y T2, suprimiendo su señal en FLAIR y no restringe en difusión.
Diagnóstico.
Diagnóstico: Ruptura de quiste dermoide con migración de gotas de grasa hacia espacio subaracnoideo.
Los quistes dermoides son quistes de inclusión ectodérmicos congénitos. Extremadamente raros, constituyen menos de un 0.5% de los tumores primarios intracraneales.
Tienden a aparecer en la línea media selar, paraselar o regiones frontonasales. Estos quistes crecen en tamaño por secreción glandular y descamación epitelial. El crecimiento puede llevar a su ruptura, causando una meningitis química que lleve al vasoespasmo, infarto e incluso la muerte.
La cápsula de estos quistes consiste en epitelio simple y colágeno, en áreas más gruesas presenta también dermis, la cual contiene folículos pilosos, glándulas sebáceas y apocrinas. La producción de aceites y pelo está implicada en una rápida ruptura.
En imagen se ven como masas bien definidas, lobuladas, de tamaño variable. Tienen las mismas características densitométricas que la grasa, porque contienen colesterol líquido. Son hiperintensas en T1 y no realzan tras contraste. En T2 tienen señal heterogénea variando de hiperintensos a hipointensos. La mejor pista para el diagnóstico de ruptura de un quiste dermoide son las gotas de grasa en las cisternas subaracnoideas, surcos y ventrículos.
Diagnóstico diferencial:
Quiste epidermoide: tienen densidad LCR en imagen y se sitúan fuera de la línea media. Anatomopatológicamente es fácil confundirlos, por lo que la imagen es fundamental.
Craneofaringiomas: localizados también en la región supraselar, se diferencian por tener una alta hiperintensidad en T2 y realzar mucho tras contraste.
Teratomas: ocurren más frecuentemente en región pineal
Lipomas: atenuación grasa homogénea y artefacto “chemical shift artifact”.
BIBLIOGRAFÍA:
Anne G. Osborn. Intracranial Cysts: Radiologic-Pathologic Correlation and Imaging Approach. Radiology. 2006; Volumen 249: Numero 3; 650-664.
Comments 1
Add CommentDeja una respuesta
Lo siento, debes estar conectado para publicar un comentario.


Rotura de quiste dermoide