Autor
- Loreto de Llano Ibisate ([email protected])
- Teresa Cabada. Complejo Hospitalario de Navarra (Pamplona)
Historia Clínica

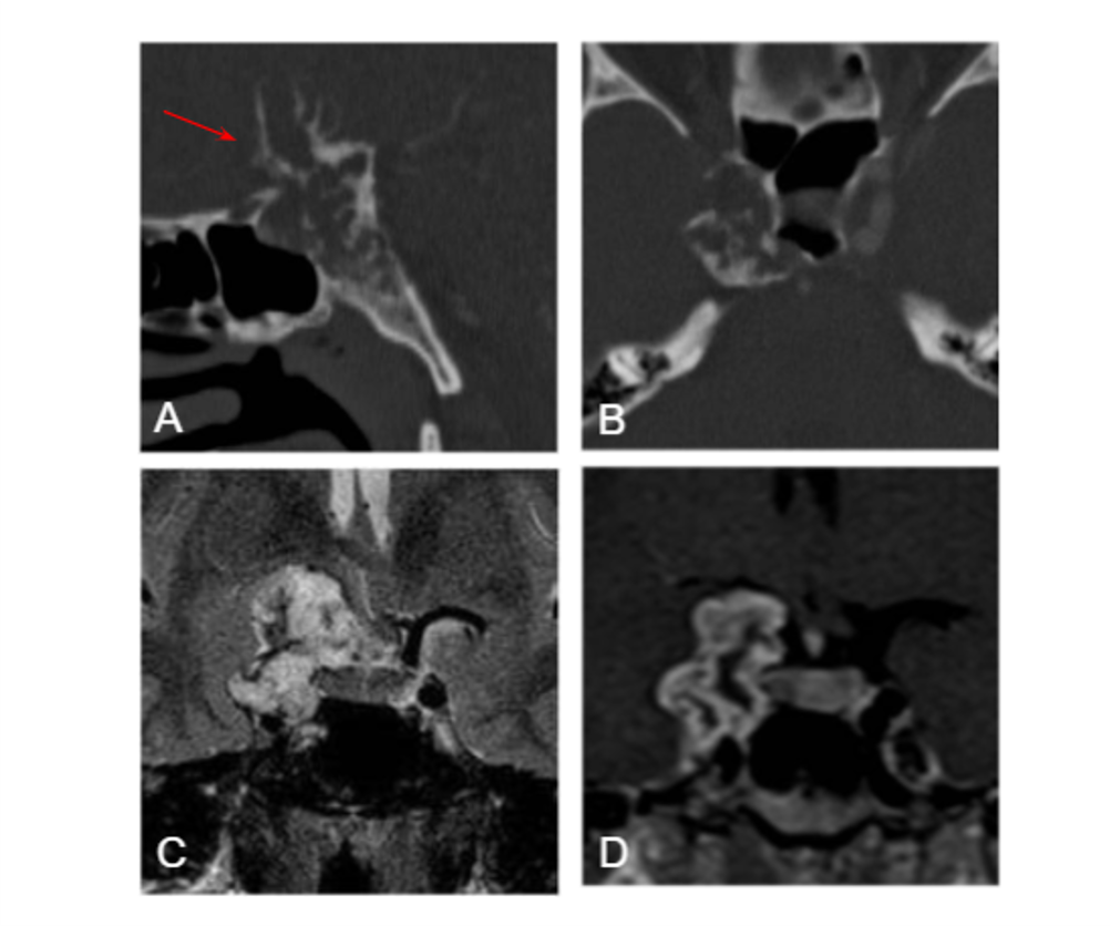
Figura A y B. TC craneal sin CIV en plano sagital (A) y axial (B): Lesión en región paraselar derecha con calcificaciones en forma de “arcos y anillos “ (flecha) que produce osteolisis del clivus.
Figura C. RM cerebral T2 coronal: Lesión hiperintensa con imágenes lineales hipointensas que representan las calcificaciones.
Figura D. RM cerebral T1 coronal con gadolinio: Masa con realce periférico en estrecho contacto con el quiasma óptico y la arteria carótida.
Diagnóstico.
ENCONDROMA. La enfermedad de Ollier o encondromatosis múltiple se caracteriza por la aparición de numerosos encondromas. Los encondromas son tumores benignos de origen cartilaginoso comunes en gente joven, habitualmente indoloros. Las localizaciones más comunes son las manos, los pies y los huesos largos (fémur, tibia y húmero). Los encondromas intracraneales son extremadamente raros; representan <0,3% de los tumores intracraneales primarios y suelen originarse en la sincondrosis basal.
Características diagnósticas
Los encondromas son típicamente lesiones líticas de pequeño tamaño (<5cm) con calcificaciones condroides (“en arcos y anillos”) y características no agresivas, sin reacción perióstica ni festoneado endóstico.
En RM se observan como masas lobuladas bien circunscritas reemplazando la médula ósea, con realce variable, hiperintensas en T2 con focos hipointensos que representan calcificaciones.
Diagnóstico diferencial
El diagnóstico diferencial entre encondroma y condrosarcoma de bajo grado es uno de los retos más difíciles tanto para los radiólogos como para los anatomopatólogos.
Los condrosarcomas predominan en pacientes de mediana edad, casi siempre son dolorosos y mayores de 5 cm. Son más frecuentes en el esqueleto axial (pelvis, escápula y costillas). Suelen tener reacción perióstica, festoneado endóstico, destrucción cortical, masa de partes blandas y microfacturas asociadas.
BIBLIOGRAFÍA:
Ferrer-Santacreu E. Enchondroma versus low-grade chondrosarcoma: Clinical and radiological criteria. J Oncol. 2012; 2012: 437958.
Zhan RY. Solitary intracerebral chondroma without meningeal attachment: a case report with review of the literature. J Int Med Res. 2011;39(2): 675-81.
Deja una respuesta
Lo siento, debes estar conectado para publicar un comentario.
