Autor
- Aleix Jareño Badenas ([email protected])
- Diego Choque Chávez
- Clara Bassaganyas Vancells
- Santiago Medrano Martorell
- Hospital Clinic de Barcelona
Historia Clínica
Los meses previos había presentado 2 episodios de deja-vu con aturdimiento posterior de unos 40 minutos.
A su llegada a urgencias se realiza TC craneal y posteriormente se amplia estudio con RM.

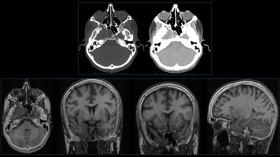
(1) TC basal axial con ventana de hueso y con ventana de partes blandas: remodelado óseo del hemiclivus derecho, del foramen oval derecho y del ala esfenoidal mayor con contenido de partes blandas. Se decide ampliar estudio mediante RM de forma programada.
(2) Fusión TC + RM en secuencia T1 en planos axial, coronal y sagital: lesión expansiva insuflante en base de cráneo que ocasiona remodelado óseo y de contenido sólido-quístico Además se aprecia una continuidad del polo temporal con el componente sólido. Las características descritas en el contexto clínico sugieren encefalocele.
Diagnóstico.
Los primarios pueden clasificarse según su localización en: occipitales (los más frecuentes), sincipitales, de la convexidad y de la base del cráneo. Dentro de los de la base de cráneo encontramos los encefaloceles del lóbulo temporal, que a su vez se dividen en temporales y esfenoidales en función de dónde se encuentre el defecto.
Los encefaloceles del lóbulo temporal serán generalmente asintomáticos, en caso de manifestarse clínicamente, las manifestaciones típicas son en forma de epilepsia que habitualmente será resistente al tratamiento médico, o bien como rinolicuorrea que se puede asociar a meningoencefalitis de repetición.
El tratamiento de los encefaloceles del lóbulo temporal es la reparación quirúrgica del defecto que ocasiona la protrusión, y será indicado en aquellos pacientes que presenten una clínica no controlable mediante tratamiento médico y se individualizará en pacientes asintomáticos en función de si el encefalocele progresa en el tiempo.
BIBLIOGRAFÍA:
1. Wind J. Spontaneous encephaloceles of the temporal lobe. Neurosurgical Focus. 2008;25(6):E11.
2. Lai S. Sphenoid Encephaloceles: Disease Management and Identification of Lesions Within the Lateral Recess of the Sphenoid Sinus. The Laryngoscope. 2002;112(10):1800-1805
Deja una respuesta
Lo siento, debes estar conectado para publicar un comentario.
