Autor
- Mario Matute González
- Marta Porta Vilaró
- Antonio López-Rueda. [email protected]. Hospital Clínic de Barcelona
Historia Clínica
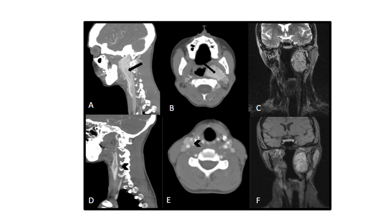
A y B) TC con contraste ev sagital (A) y axial (B): lesión redondeada bien definida con realce arterial situada posteriormente a la bifurcación carotídea (ver flecha), que desplaza tanto la carótida externa como la carótida interna anteriormente, separándolas de la vena yugular y sin ampliar espacio entre ambas, correspondiente a paraganglioma vagal izquierdo. Desplaza la faringe medialmente.
D y E) TC con contraste ev sagital (A) y axial (B): tumoración de partes blandas situada en bifurcación carotídea derecha que provoca apertura de bifurcación carotídea (punta de flecha) compatible con paraganglioma carotídeo derecho.
C) Secuencia coronal T2 con saturación de grasa: Vacío de señal dentro de la tumoración por alta vascularización de la misma
F) Secuencia coronal T1 con saturación grasa + contraste: Tumoración bien definida que presenta realce intenso
Diagnóstico.
Los paragangliomas son tumores que derivan de células cromafines del sistema nervioso autónomo. Se trata de tumoraciones de crecimiento lento y en general benignas. Algunos casos pueden ser multicéntricos, sobre todo aquellos relacionados con agregación familiar. El tratamiento suele ser embolización seguido de cirugía.
Según su localización, se clasifican en adrenales (la mayoría feocromocitomas) y extraadrenales. La mayoría de los extraadrenales son intraabdominales, seguidos por los torácicos y, finalmente, los de cabeza y cuello.
Dentro de la cabeza y cuello tienen tienen preferencia por 4 lugares principalmente: cuerpo carotídeo (60% de casos), foramen yugular, a lo largo del nervio vago y en oído medio.
El diagnóstico diferencial comprendería otros tumores cervicales como quistes branquiales, linfadenopatías o tumores de partes blandas.
BIBLIOGRAFÍA:
Patetsios P. Management of Carotid Body Paragangliomas and Review of a 30-year Experience. Annals of Vascular Surgery. 2002: Volume 16, issue 3.
Ki YL. Extraadrenal Paragangliomas of the Body: Imaging Features. American Journal of Roentgenology. 2006; 187:2, 492-504.
Deja una respuesta
Lo siento, debes estar conectado para publicar un comentario.

