Autor
- Margarita Beltran-Marin, CHU-Guadeloupe, Francia [email protected]
Historia Clínica
Confusión y alteración de comportamiento de un mes de evolución. Aparición posteriormente de una ataxia de 4 miembros asimétrica y un síndrome piramidal.
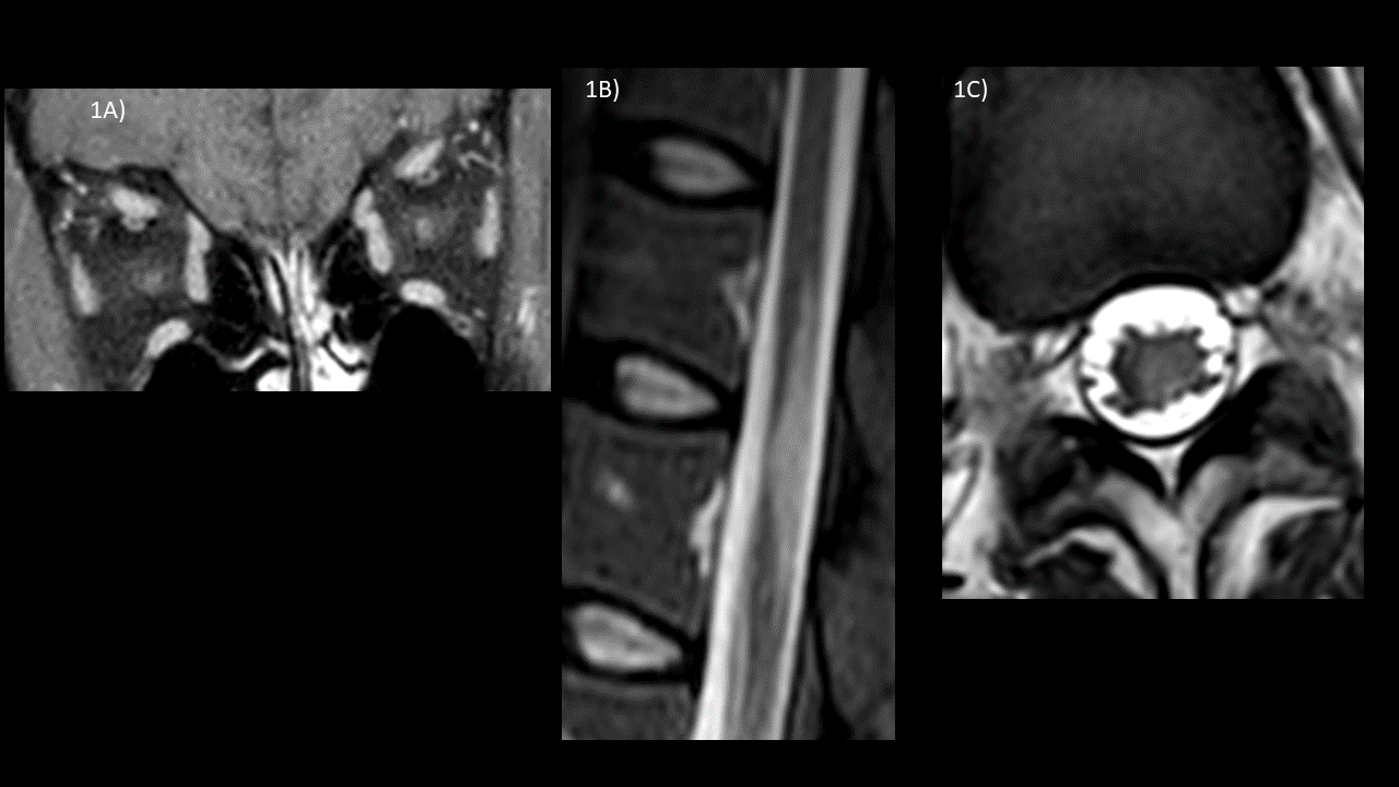
 1A) Corte coronal en ponderación T1  y saturación de la grasa tras inyección de contraste demostrando un realce de los nervios ópticos retrobulbares  extendiéndose al la grasa orbitaria adyacente, evocando una neuritis óptica bilateral.
1A) Corte coronal en ponderación T1  y saturación de la grasa tras inyección de contraste demostrando un realce de los nervios ópticos retrobulbares  extendiéndose al la grasa orbitaria adyacente, evocando una neuritis óptica bilateral.
1B) Corte sagital T2  centrado  sobre  la parte distal medular donde se observa una lesión  hiperintensa interesando el cono medular , con  una  longitud  de menos de dos cuerpos vertebrales, evocando una mielitis.
1C) Corte axial centrado sobre la lesión cervical mostrando que ésta ocupa la parte central y posterior derecha  y más del 50% de la sección transversal del cordón medular.
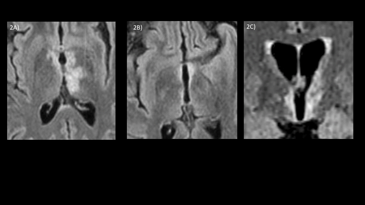
2A-B) Cortes axiales en ponderación FLAIR, mostrando zonas hiperintensas en la parte medial del tálamo izquierdo y  en la superficie periependimaria del tercer ventrículo, evocando igualmente lesiones desmielinizantes.
2C) Corte coronal ponderado FLAIR que muestra la distribución peripendimaria en torno al tercer ventrículo y la anomalie de senal talamique izquierda.
Diagnóstico.
Dentro de las enfermedades del espectro de la neuromielitis óptica el anticuerpo encontrado con más frecuencia es contra la acuaporina 4 (AQP4) pero hasta en un 25% de casos se ha detectado otro anticuerpo causante que ataca una glicoprotine de la myelina del oligodendrocito (myelin olygodendrocyte glycoprotein), o anti-MOG. Existen una serie de diferencias radiológicas entre ambos:
– nervio óptico: pacientes con AQP4-IgG-positivo suelen presentar una afectación bilateral y posterior del nervio óptico con extensión al quiasma. Pacientes positivos para MOG-IgG por lo general exhiben afectación también bilateral pero más anterior y generalmente con realce perineural
– médula espinal: pacientes positivos a AQP4-IgG suelen presentar lesiones extensas en la región cervicotorácica. Sin embargo, el compromiso del cono medular y la médula toracolumbar se asocia a los pacientes con MOG-IgG. En los cortes axiales ambos presentan una localización central y periférica de más de 50 % de la sección medular.
– cerebral: los pacientes con AQP4-IgG positivo suelen tener lesiones hiperintensas en FLAIR en periventricular y afectación de los tractos corticoespinales . Los pacientes con MOG-IgG-positivo con mayor frecuencia tienen lesiones desmielinizantes en los ganglios de la base, tálamo o lesiones infratentoriales.
BIBLIOGRAFÍA:
Deja una respuesta
Lo siento, debes estar conectado para publicar un comentario.

