Autores
- Margarita Beltran-Marin, CHU-Guadeloupe, [email protected]
Historia Clínica
Paciente varón de 69 años polivascular (HTA, DMT2, hipercolesterolemia y obesidad)
Hospitalizado en la unidad de cuidados intensivos por parada cardio-respiratoria de origen cardiaco complicada con una neumopatía asociada a la ventilación mecánica
Despertar patológico a la retirada de sedación
Hospitalizado en la unidad de cuidados intensivos por parada cardio-respiratoria de origen cardiaco complicada con una neumopatía asociada a la ventilación mecánica
Despertar patológico a la retirada de sedación
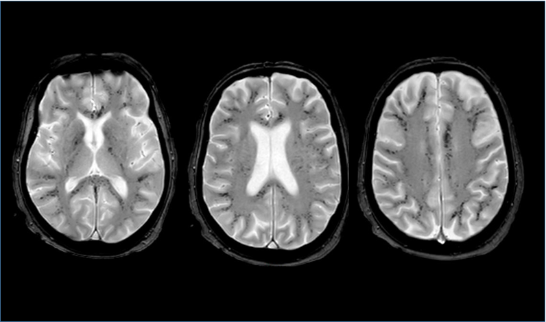
Cortes axiales en ponderación T2 FFE de una RM cerebral realizada 41 días tras el ingreso en la UCI. Numerosos microsangrados están involucrando difusamente la substancia blanca yuxtacortical, el cuerpo calloso y las cápsulas internas. La sustancia blanca profunda y periventricular así como la sustancia gris están respetados. Estas micro hemorragias no son visibles en las otras secuencias (T1, FLAIR, difusión)
Diagnóstico.
MICROHEMORRAGIAS ASOCIADAS A ENFERMEDADES CRÍTICAS
El contexto clínico y la distribución de las hemorragias cerebrales dan una orientación diagnóstica.
Es bien conocido que una localización central profunda de éstas sugiere micro-angiopatia hipertensiva y una localización lobar de predominio posterior en alguien añoso sugiere angiopatía amiloidea.
En pacientes en cuidados intensivos se ha descrito un patrón distinto de distribución de microhemorragias cerebrales que afecta la sustancia blanca yuxtacortical del cuerpo calloso y de cápsulas internas, de forma extensa, como en nuestro paciente. La causa última de estas estas hemorragias petequiales no se conoce, pero la patogénesis puede implicar la hipoxia, ya que la distribución es similar a las descritas con la exposición a gran altitud y el síndrome de distrés respiratorio agudo y todos los pacientes con esta distribución de las microhemorragias presentan en común un fallo respiratorio.
El contexto clínico y la distribución de las hemorragias cerebrales dan una orientación diagnóstica.
Es bien conocido que una localización central profunda de éstas sugiere micro-angiopatia hipertensiva y una localización lobar de predominio posterior en alguien añoso sugiere angiopatía amiloidea.
En pacientes en cuidados intensivos se ha descrito un patrón distinto de distribución de microhemorragias cerebrales que afecta la sustancia blanca yuxtacortical del cuerpo calloso y de cápsulas internas, de forma extensa, como en nuestro paciente. La causa última de estas estas hemorragias petequiales no se conoce, pero la patogénesis puede implicar la hipoxia, ya que la distribución es similar a las descritas con la exposición a gran altitud y el síndrome de distrés respiratorio agudo y todos los pacientes con esta distribución de las microhemorragias presentan en común un fallo respiratorio.
BIBLIOGRAFÍA:
Fanou E.M. Critical illness asscoiated cerebral microbleeds.Stroke.2017;48: 1085–1087.
Haller S. Cerebral microbleeds: imaging and clinical significance.Radiology. 2018;287(1):11–28.
Haller S. Cerebral microbleeds: imaging and clinical significance.Radiology. 2018;287(1):11–28.
Deja una respuesta
Lo siento, debes estar conectado para publicar un comentario.

