Autores
- Laia Parcerisas Desmeules
- Santiago Medrano Martorell
- Jaume Capellades Font
- Sofía Glez. Ortiz
- (Hospital del Mar, Barcelona)
Historia Clínica
Varón de 15 años que acude por odinofagia, fiebre y tumefacción dolorosa cervical izquierda de 3 días de evolución. Tiene antecedentes de amigdalitis purulenta 10 días antes al ingreso que fue tratada con antibiótico.
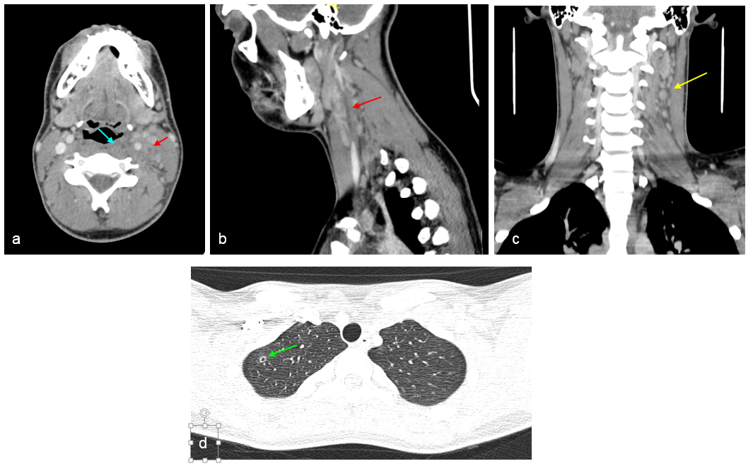
		Imágenes de TC cervical con contraste en reconstrucciones axial (a), sagital (b) y coronal (c) y de TC pulmonar con contraste en axial (d).
Se identifica discreta tumefacción de amígdala palatina izquierda, sin colecciones evidentes, en relación con cambios inflamatorios de la misma (a, flecha azul). Falta de opacificación de la vena yugular interna izquierda compatible con trombosis (a y b, flechas rojas). Numerosos ganglios reactivos cervicales ipsilaterales (c, flecha amarilla).
Lesión nodular cavitada en segmento apical de lóbulo superior derecho pulmonar (d, flecha verde).
Diagnóstico.
Síndrome de Lemierre. El síndrome de Lemierre es una complicación rara de una infección orofaríngea, habitualmente amigdalitis, que cursa con tromboflebitis de la vena yugular interna y metástasis sépticas, normalmente pulmonares. Es frecuente en adolescentes y adultos jóvenes inmunocompetentes con antecedentes de una infección orofaríngea unos 7-14 días antes de la aparición de la clínica.
En el estudio mediante TC cervical con contraste se observan un defecto de repleción de la vena yugular interna (también evidenciable mediante estudio ecográfico), cambios inflamatorios del tejido graso adyacente y, en algunos casos, nódulos pulmonares cavitados en relación con las metástasis sépticas mencionadas.
La clínica principal consiste en tumefacción dolorosa cervical unilateral, fiebre y síntomas en relación con los focos metastásicos infecciosos, típicamente pulmonares (tos, hemoptisis, dolor pleural…) y articulares.
BIBLIOGRAFÍA:
Walkty, A., & Embil, J. (2019). Lemierre’s Syndrome. New England Journal of Medicine, 380(12), e16.
Wright, W. F., Shiner, C. N., & Ribes, J. A. (2012). Lemierre Syndrome. Southern Medical Journal, 105(5), 283–288.
Van Wissen, M., Gerdes, V. E., van Gorp, E. C., Brandjes, D. P., & Soesan, M. (2009). Unusual presentation of Lemierreʼs syndrome: two cases and a review. Blood Coagulation & Fibrinolysis, 20(6), 466–469.
Wright, W. F., Shiner, C. N., & Ribes, J. A. (2012). Lemierre Syndrome. Southern Medical Journal, 105(5), 283–288.
Van Wissen, M., Gerdes, V. E., van Gorp, E. C., Brandjes, D. P., & Soesan, M. (2009). Unusual presentation of Lemierreʼs syndrome: two cases and a review. Blood Coagulation & Fibrinolysis, 20(6), 466–469.
Deja una respuesta
Lo siento, debes estar conectado para publicar un comentario.

