Caso del mes abril 2020

Autoras

  • Anca Oprisan
  • Eduardo Baettig-Arriagada
  • Ali Boukhoubza
  • Vicent Belloch-Ripolles
  • Marialaura Mena-Cavelis
  • Macarena Barreda-Solana
  • Miguel Mazón
  • Fernando Aparici-Robles
  • Hospital Universitari i Politècnic La Fe, Valencia
  • [email protected]

Historia Clínica

Mujer de 50 años en tratamiento por depresión, consulta por anosmia, hipoacusia bilateral e hipersomnia. En la exploración física destaca un leve exoftalmos bilateral, bradipsíquia. No se aprecia focalidad neurológica.
FIGURA 1
FIGURA 2

FIGURA 3

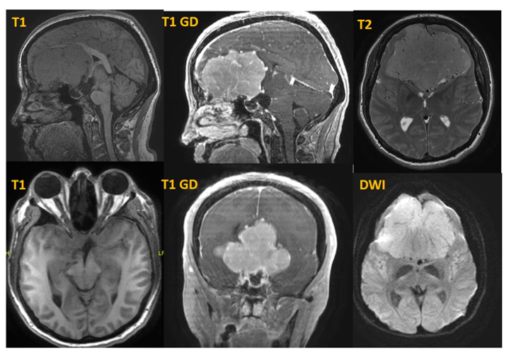
Figura 1. Imágenes de RM .Gran masa extraaxial con espolón enostótico en planum sphenoidale que englobe posteriormente las apófisis clinoides y se extiende por las alas mayores del esfenoides. Tras la administración de contraste presenta realce intenso y homogéneo. Condiciona marcada deformidad de la porción anterior del cerebro, herniación transtentorial descendente con herniación de tercer ventrículo hasta la cisterna prepontina.
Silla turca vacía, encefalocele de ápex petroso derecho y marcada ectasia de vainas de nervios ópticos con protrusión de las cabezas en globos oculares.
Figura 2.  En la angiografía cerebral se observa la vascularización de la masa desde arterias oftálmicas, cerebrales anteriores, maxilares y meníngeas.

Diagnóstico.

Meningioma del surco olfatorio. Los meningiomas del surco olfatorio representan entre el 8 y el 13% de todos los meningiomas intracraneales, ocupan la fosa anterior del cráneo en la zona de la lámina cribosa y pueden envolver la Crista galli, la parte posterior del plano esfenoidal, y extenderse simétricamente sobre la línea media o bien lateralmente.
Crecen de forma lenta y tienen una expresividad neurológica escasa, aunque la asociación de un gran edema cerebral peritumoral uni o bilateral suele relacionarse con un debut clínico abrupto. El diagnóstico se hace actualmente con la RM, aunque el estudio preoperatorio con TC es recomendable para conocer la disposición de los senos paranasales, erosión o hiperostosis inducidas por el tumor.
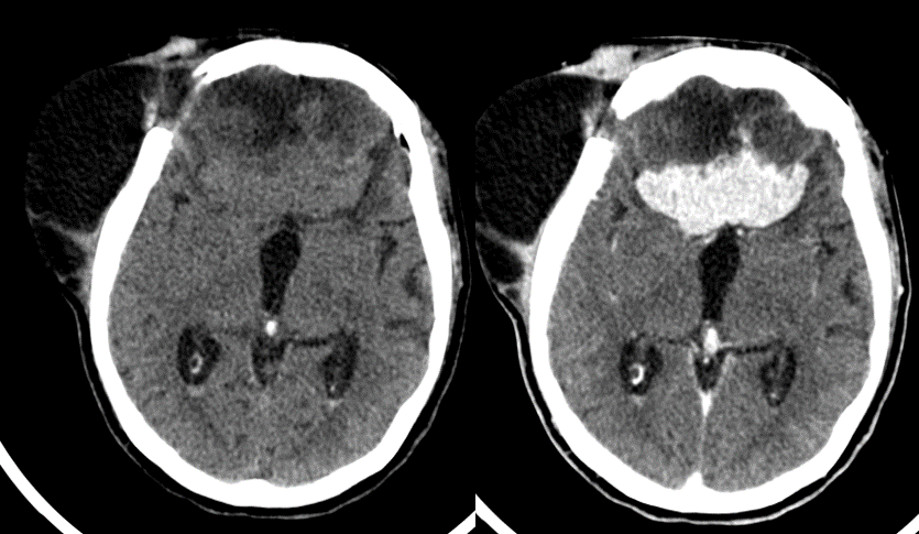
Los meningiomas de surco olfatorio sintomáticos deben ser tratados quirúrgicamente con el objetivo de obtener una resección radical. A nuestra paciente se le ha realizado una resección parcial por vía bifrontal (Figura 3 TC cabeza realizado a los 4 meses).
Diagnóstico Diferencial: Metástasis durales/ Malformación vascular dural/ Hemangiopericitoma
Figura 3. TC cabeza sin y tras contraste iv.

BIBLIOGRAFÍA:

1) Nakamura M, Struck M, Roser F, Vorkapic P, Samii M (2007) Olfactory
groove meningiomas: clinical outcome and recurrence rates after tumor
removal through the frontolateral and bifrontal approach. Neurosurgery,
60:844-852
2) García-Navarrete E, Sola RG (2002) Clinical and surgical aspects of meningiomas of the base of the skull. 1. Meningiomas of the anterior fossa. Rev Neurol. 34(6):584-92
3) Elster AD, Challa VR, Gilbert TH et-al (1989) Meningiomas: MR and histopathologic features. Radiology.170(3):857-62

Deja una respuesta