Autoras
- Patricio Maximiliano Latorre Brajovic ([email protected])
- Jessie Ramírez
- Carmen Cruz-Conde
- Patricia Martin Medina
- Amaya Hilario
- Hospital Universitario 12 de Octubre, Madrid, España.
Historia Clínica
La exploración neurológica es sugerente de síndrome mesencefálico tectal
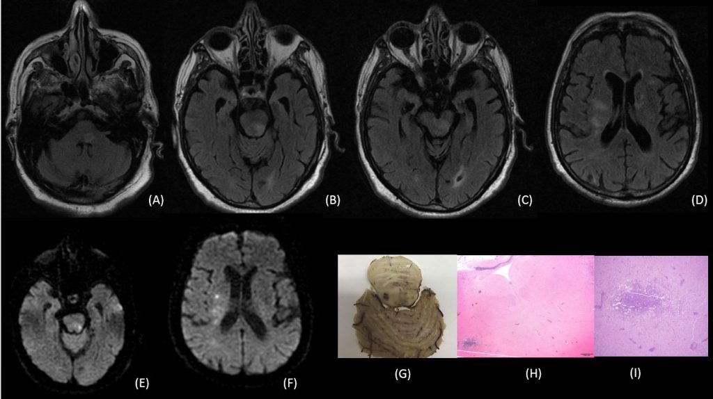
Figuras A, B, C y D son secuencias axiales potenciadas en FLAIR, en las que se identifica hiperintensidad en la región dorsal del bulbo y protuberancia (suelo del IV ventrículo) , que se extiende a la al mesencéfalo y sustancia blanca periventricular supratentorial.
Figuras E y F son secuencia de difusión, en que existe focos de restricción a la difusión en la región dorsolateral izquierda de la protuberancia y sustancia blanca periventricular derecha.
Figura G. Corte axial macroscópico de la protuberancia y vermis cerebeloso superior, se observa un microabsceso en la región dorsal de la protuberancia
Figura H. Fijación hematoxilina-eosina, existe un microabsceso en la región dorsal de la protubencia.
Figura I. Fijación hematoxilina-eosina, microscopía de mayor aumento, en que se identifica inflitrado inflamatorio en el microabsceso de la región dorsal de la protuberancia.
Diagnóstico.
Romboencefalitis por Listeria.
La rombencefalitis por Listeria es una infección grave e infrecuente del tronco cerebral.
La Listeria monocytogenes es una bacteria cocobacilo grampositivo, anaerobio facultativo que penetra en el organismo por el tubo digestivo.
La listeriosis es rara. La infección suele afectar a ancianos, niños e inmunocomprometidos de la inmunidad celular.
Existe una hipotesis sobre la invasión del organismo en el tronco encefalo, a través de transporte retrogrado intra-axonal.
La RM se presenta como lesiones unilaterales del tronco cerebral, que afectan a la protuberancia en relación al suelo del cuarto ventrículo y con un diámetro mayor céfalo caudal. Estas lesiones son hiperintensas en T2, hipointensas en T1, con discreta restricción a la difusión y que presenta realce en anillo tras la administración de contraste.
La afectación pueden extender hacia la médula espinal y/o la región supratentorial.
Los diagnósticos diferenciales debe realizarse con otros agentes que producen romboencefalitis como el virus herpes simple, adenovirus, tuberculosis y infecciones por hongos (criptococcus y aspergillus). Cabe mencionar enfermedades, como el espectro de neuromielitis óptica y neuro-Behçet, que puede producir lesiones similares.
BIBLIOGRAFÍA:
Sergio Illanes D, Pablo Araya C, Sergio Ferrer D, Luis Cartier R, Mauricio Bravo M, Sergio Castillo C. Romboencefalitis: una forma de infección por Listeria monocytogenes en el sistema nervioso central. Rev. méd. Chile. 2003, vol.131, n.8, pp.921-928.
N. Aymerich, F. Lacruz, J. Gállego, G. Soriano, T. Ayuso, J.A. Villanueva. Rombencefalitis por Listeria: correlación clínico-radiológica. An. Sist. Sanit. Navar. 2004; 27 (2): 245-248.
Campos LG, Trindade RAR, Faistauer A, Pérez JA, Vedolin LM, Duarte JA. Rhombencephalitis: pictorial essay. Radiol Bras. 2016 Set/Out;49(5):329– 336.
Gonzalo Miranda G, Patricia Orellana P, Holvis Dellien Z, Margarita Switt R. Romboencefalitis por Listeria monocytogenes. Patología emergente en relación al brote epidémico. Presentación de tres casos clínicos. Rev Méd Chile 2009; 137: 1602-1606
Ellen-Ann Antal, Else-Marit Løberg, Espen Dietrichs, Jan Mæhlen. Neuropathological Findings in 9 Cases of Listeria Monocytogenes Brain Stem Encephalitis. Brain Pathol 2005;15:187-191
Deja una respuesta
Lo siento, debes estar conectado para publicar un comentario.

