Autoras
- Dra. Diana Quiñones Tapia [email protected]
- Dra. Natividad Gómez Ruiz [email protected]
- Hospital NS del Rosario, Príncipe de Vergara 53 Madrid 28023.
Historia Clínica
En los meses previos sufre múltiples episodios de caidas, TCE y crisis tonico-clónica de ESI
Macroglobulinemia de Waldenström diagnosticada hace 19 años que ha precisado quimioterapia de tercera linea
Posible meningioma vs hemangioma frontal dcho por TC hace 6 meses.
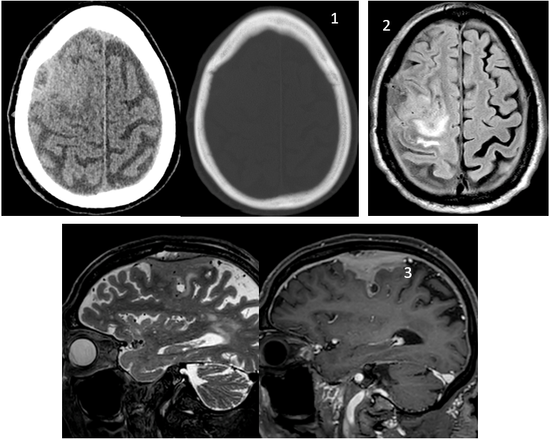
1. TC simple: anomalía extraaxial frontal derecha hiperdensa, sin erosión ósea
2. RM axial FLAIR: alteración de señal hiperintensa en surcos frontales y lesión heterogénea cortico-subcortical. Engrosamiento e hiperseñal difusa dural bilateral
3. RM sagitales T2 Y T1Gd lado Dcho: lesión epidural sin afectación ósea. Afectación de espacio subaracnoideo con señal intermedia en T2 y captación intensa postcontraste i.v. Captación difusa dural en la convexidad de ambos hemisferios
Diagnóstico.
Síndrome de Bing-Neel: invasión leptomeningea por células tumorales por macroglobulinemia de Waldenström (MW) descrito en 1936
La MW solo es un 2% de las gammapatias monoclonales, y en su evolución el 25% de los pacientes presentan complicaciones neurológicas. (Fitsiori)
La MW es un síndrome proliferativo de celulas B raro (1-2% de LNH) en el 20% de los casos hay afectación extramedular. (Castillo)
La afectación del SNC por MW es variada, puede afectar parénquima cerebral predominantemente subependimaria 37%, 25% subcorticales y 12% en protuberancia o bulbo. 16% afectan órbita
La afectación leptomeníngea, con tumor dural y alteración del espacio subaracnoideo (proteínas y células tumorales), plantea el diagnóstico diferencial con tumores que infiltran hueso y leptomeninges (meningioma, hemangioma, metástasis..) o procesos inflamatorios (artritis reumatoide). En nuestro caso predomina la afectación subaracnoidea o leptomeníngea
BIBLIOGRAFÍA:
Fitsiori A, et al. Imaging spectrum of Bing-Neel syndrome: how can a radiologist recognise this rare neurological complication of Waldenström macroglobulinemia? European Radiology (2019) 29:102–114
Castillo JJ et al. Central nervous system involvement by Waldenström macroglobulinemia (Bing-Neel sydrome): a multi-institutional retrospective study. Br J Haematol. 2016 March;172(5):709-715
Cuenca Hernández R, et al. Bing Neel syndrome as an initial sign of Waldenström Macroglobulinemia associated with orbital infiltration. Neurología (2015);30:252-255.
Deja una respuesta
Lo siento, debes estar conectado para publicar un comentario.

