Autoras
- Patricio Maximiliano Latorre Brajovic ([email protected])
- Victor Aguilar
- Nuria Pérez
- Amaya Hilario
- Hospital Universitario 12 de Octubre, Madrid, España.
Historia Clínica
Febrero 2018 infiltración líquido cefalorraquídeo (LCR) por LNH anaplásico, tratado con QMT intratecal.
Septiembre 2018 recaída en LCR, tratado con triple terapia intratecal con metotrexato, Ara-C citarabina e hidrocortisona.
Trasplante progenitores hematopoyéticos.
Crisis parcial secundariamente generalizada en enero 2019.
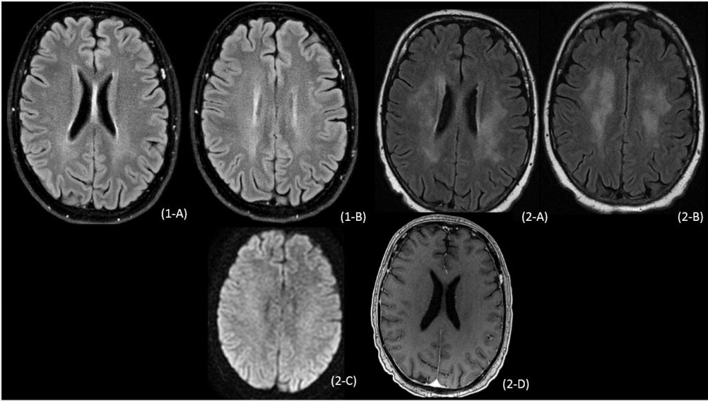
Figuras 1A y 1B RM realizada en noviembre 2018 empleando secuencias FLAIR plano axial. No se observan alteraciones significativas.
Figuras 2 (A-D). RM realizada en enero de 2019 empleando secuencias FLAIR, difusión y T1 con contraste en el plano axial. Lesiones hiperintensas confluentes en sustancia blanca periventricular y de centro semiovales, sin restricción en difusión ni captación patológica de contraste.
Diagnóstico.
Leucoencefalopatía tóxica por metotrexato (MTX)
La leucoencefalopatía (LE) por MTX se produce por un daño directo sobre las vainas de mielina y un daño secundario endotelial. La neurotoxicidad es rara (3-20%), aunque es mas frecuente en altas dosis MTX, administración intratecal, jóvenes, predisposición genética (SNP) y radioterapia craneal.
El metotrexato es un fármaco antimetabolito que inhibe la enzima dihidrofolato reductasa (DHFR) y por lo tanto la formación de tetrahidrofolato. Afecta a la síntesis de macromoléculas (mielina). Disminuye S-adenosilmetionina (SAM) alterando el mantenimiento de la vaina de mielina. Aumento de homocisteína produciendo daño endotelial.
Existen dos formas de presentación aguda-subaguda y tardías, en que se relaciona con el inicio de síntomas de días a semanas y meses a años, respectivamente. El curso de la neurotoxicidad puede ser fluctuante y ocurrir mas de una vez.
LE por MTX puede presentarse en pacientes sintomáticos y asintomáticos.
Los hallazgos en RM son: en las formas tardías aparece como hiperintensidad T2/FLAIR difusa y confluente en sustancia blanca profunda. En las formas agudas debutan con cuadros stroke-like y en RM son carácterísticas áreas de restricción en difusión sin apenas traducción en secuencias FLAIR.
Leucoencefalopatía tóxica por metotrexato (MTX)
BIBLIOGRAFÍA:
Bhojwani D, Sabin ND, Pei D, et al. Methotrexate-induced neurotoxicity and leukoencephalopathy in childhood acute lymphoblastic leukemia. J Clin Oncol. 2014;32(9):949–959. doi:10.1200/JCO.2013.53.0808.
Cruz-Carreras MT, Chaftari P, Shamsnia A, Guha-Thakurta N, Gonzalez C. Methotrexate-induced leukoencephalopathy presenting as stroke in the emergency department. Clin Case Rep. 2017;5(10):1644–1648. Published 2017 Aug 29. doi:10.1002/ccr3.1110.
C. Özütemiz, S.K. Roshan, N.J.
Deja una respuesta
Lo siento, debes estar conectado para publicar un comentario.

