Autoras
- Pedro Borrego Jiménez
- Mónica Rebollo Polo
- Noelia Rivera Sánchez
- Hospital Sant Joan de Déu (Barcelona)
 [email protected]
Historia Clínica
RM realizada sin contraste y con técnica de cojín. TC sin contraste y sin anestesia.
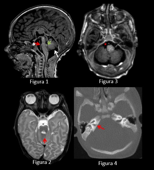
Figura 1: RM secuencia sagital T1. Aplanamiento ventral de la protuberancia (flecha roja) y protrusión del tegmento pontino (“tegmental cap”) hacia el cuarto ventrículo (flecha verde). Vermis hipoplásico con alteración de la foliación (flecha blanca).
Figura 2: RM secuencia axial T2. Anomalía de pedúnculos cerebelosos superiores (“molar tooth”) (flecha roja).
Figura 3: RM secuencia axial T1. No se identifican pares craneales derechos VII y VIII (estrella roja).
Figura 4: TC axial. Asimetría de CAIs con hipoplasia del derecho (flecha roja) así como del conducto del facial.
Diagnóstico.
Pontine Tegmental Cap Dysplasia (PTCD)
PTCD es un trastorno poco común y recientemente descrito que se caracteriza por una malformación peculiar del tronco cerebral y del encéfalo (midbrain-hinbrain malformation)
Hallazgos clave en imagen:
protuberancia aplanada y tegmento pontino abovedado
pedúnculos cerebelosos superiores lateralizados (“molar tooth”)
hipoplasia / aplasia de pedúnculos cerebelosos medios
hipoplasia variable de pedúnculos cerebelosos inferiores
anomalías en peñascos con hipoplasia / aplasia de nervios V, VI, VII y VIII
Los pacientes suelen presentar hipotonía neonatal, signos piramidales y cerebelosos, neuropatías craneales múltiples y malformaciones extracraneales que comprenden defectos cardíacos, gastrointestinales, genitourinarios y esqueléticos.
Diagnóstico diferencial:
Hipoplasias pontocerebelosas
Síndrome de Joubert
Síndrome de Moebius
BIBLIOGRAFÍA:
Jissendi-Tchofo, P. Pontine Tegmental Cap Dysplasia: MR Imaging and Diffusion Tensor Imaging Features of Impaired Axonal Navigation. American Journal of Neuroradiology. 2008;30(1):113–119.
Nixon, J. N. Temporal bone and cranial nerve findings in pontine tegmental cap dysplasia. Neuroradiology. 2015;58(2):179–187.
Bhayana A. Clinicoradiological aspects of pontine tegmental cap dysplasia: Case report of a rare hindbrain malformation. Indian J Radiol Imaging. 2018;28(1):18–21.
Deja una respuesta
Lo siento, debes estar conectado para publicar un comentario.

