Autoras
- Isabel Ríos Gómez ([email protected])
- Manuel de la Puente Herraiz
- Elena Salvador Álvarez
- Hospital 12 de octubre (Madrid)
Historia Clínica
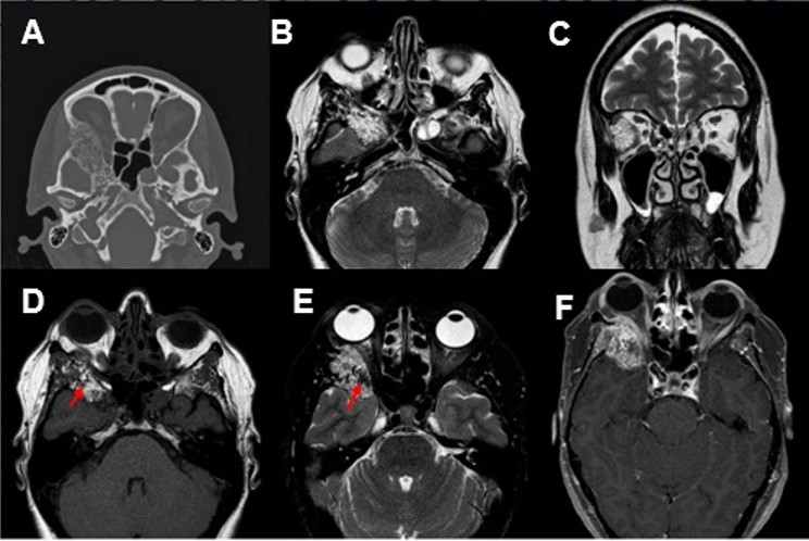
Protrusión ojo derecho.
A. TC, axial: Lesión osteolítica de aspecto multiseptado que remodela las alas del esfenoides y pared lateral de la órbita derecha sin signos de agresividad (de márgenes lobulados y bien delimitada, no reacción perióstica ni disrupción cortical).
Diagnóstico.
HEMANGIOMA INTRAÓSEO. Los hemangiomas son neoplasias benignas de origen endotelial. Se clasifican como de tipo venoso, cavernoso o capilar, según su red vascular predominante. Comprenden del 0.5 a 1% de todos los tumores intraóseos. Más frecuentes en mujeres de edad media (3:1). Habitualmente son lesiones únicas con un patrón de crecimiento lento y exofítico. Su localización más común es la columna vertebral (tipo capilar) y los huesos del cráneo (tipo cavernoso), afectando en esta última localización sobre todo al frontal y parietal. En los huesos de la órbita se diagnostican alrededor del 5%. Los hemangiomas orbitarios se presentan como una masa dura que en su lento crecimiento pueden causar una deformidad facial significativa, así como dolores de cabeza y problemas oculares (proptosis, diplopia y pérdida visual).
Respecto al diagnóstico por imagen, en la TC se presenta como una lesión lítica, bien definida y con borde escleroso en 1/3 de los casos. Puede improntar sobre la cortical, sin destrucción de la misma. Es característico el engrosamiento trabecular, con patrón en “en panal” o “rueda de carro”. Característicamente la trabeculación es vertical con tejido blando/grasa interpuesta. En la RM son tipicamente hiperintensos en secuencias T1 si el componente graso es mayoritario; si hay mayor componente de engrosamiento trabecular predominio hipointenso. Son heterogéneamente hiperintensos en secuencias T2 y realza de forma intensa y heterogénea con contraste paramagnético.
El diagnóstico diferencial de las lesiones óseas primarias de lento crecimiento en la órbita es muy amplio, ya que existen gran número de lesiones de presentación clínica y radiográfica similar a los hemangiomas óseos. Entre éstas se incluyen las displasias fibrosas, meningiomas, enfermedad Paget ymieloma múltiple/plasmocitoma.
El tratamiento se reserva para las lesiones sintomáticas. Consiste en la escisión local de la lesión con un margen de hueso sano, y la reconstrucción inmediata de la órbita con injertos de hueso autógeno. Otras terapias como la embolización, el legrado y la radioterapia pueden ayudar.
BIBLIOGRAFÍA:
Bastug D, ortiz O, schochet SS.. Hemangiomas in the calvaria: imaging findings.1995 mar;164(3):683-7.
Laine, FJ, nadel, L, braun, IF. CT and MR imaging of the central skull base. Part 1: techniques, embryologic development, and anatomy. Radiographics 1990.
Banerji, D., Inao, S., Sugita, K., Kaur, A., Chhabra, D.K.: Primary intraosseous orbital hemangioma: A case report and review of the literature. Neurosurg 1994; 35: 1131-1134.
Hwang, K.: Intraosseous hemangioma of the orbit. J Craniofac Surg 2000; 11: 386-387.
Deja una respuesta
Lo siento, debes estar conectado para publicar un comentario.

