Autoras
- Dra. Alhambra Morón Marta
- Dra. Delgado Fernández Laura
- Dra. Sainz Azara Carolina
- (Hospital Univ. Príncipe de Asturias, Madrid)
Historia Clínica
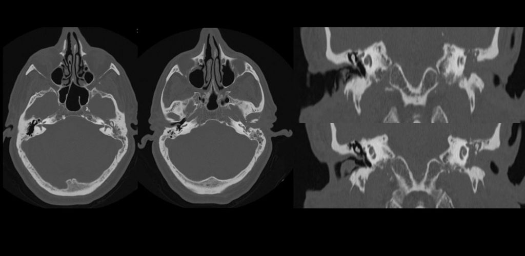
FIGURA 1 (TAC) a) Ocupación porción más medial de CAE izdo. por aumento de partes blandas que ensanchan canal, sin lograr visualizar la membrana timpánica b) Ocupación oído medio sin afectación de la cadena osicular. c) Erosión de tegmen timpani y  pared anterior de oído medio izdo., con solución de continuidad a fosa craneal media d) Erosión y dehiscencia de conducto óseo del nervio facial izquierdo a nivel de ganglio geniculado y erosión de pared posterior de la fosa glenoidea
FIGURA 2 (RM)  a) Ocupación completa oído medio izdo por material hipo T1 e hiper T2 que no realza tras la administración de contraste b) Absceso subperióstico c) Ocupación completa de oído medio izquierdo por material hipo T1 e hiper T2 (en difusión muestra pequeños focos de restricción y tras administración de contraste áreas de realce).
Diagnóstico.
OTITIS EXTERNA MALIGNA
Infección causada por P.aeruginosa, seguido de S. aureus.  Los pacientes de edad avanzada y los diabéticos son los grupos de mayor riesgo. Los síntomas de presentación más comunes son otorrea y otalgia graves y prolongadas. También puede cursar con hipoacusia y sensación de plenitud auditiva. A medida que la infección progresa aparece cefalea, dolor en la articulación temporomandibular, trismus y parálisis de nervios craneales. Se origina en el cartílago del CAE con posterior progresión a partes blandas y hueso, y afectación de los nervios craneales VII a XII. El nervio craneal afectado con mayor frecuencia es el nervio facial (VII), cuando la infección se extiende al orificio estilomastoideo. A medida que la infección avanza hacia el agujero yugular y el conducto hipogloso se producen parálisis de nervios craneales inferiores.
TC: Permite evaluar la presencia de erosiones óseas y alteraciones de partes blandas en la base del cráneo y hueso temporal. Las desventajas del TC son que infraestima la extensión intracraneal de la enfermedad y que no distingue infección de malignidad.  Además tras la resolución del cuadro la afectación ósea no suele revertir y puede perdurar hasta más de 1 año después del tratamiento, por lo que no es útil para evaluar respuesta a tratamiento.
RM: Aunque no detecta las erosiones óseas sutiles es superior en la detección de alteraciones de partes blandas y puede mostrar realce dural, lo cual se resuelve con tratamiento adecuado y por eso es la técnica empleada para evaluar respuesta al tratamiento.
BIBLIOGRAFÍA:
ames R Hupp y Ellie R Ferneini. Infecciones del oído y de la mastoides. Infecciones orofaciales, de cabeza y cuello, un abordaje interdisciplinario. Elsevier 2017 19, 293-303. JA. Branty MJ Ruckenstein . Infections of the external ear. Cummings Otolaryngology. 137, 2115-2122.e2. John E. Bennett, Raphael Dolin and Martin J. Blaser. Enfermedades infecciosas. Principios y práctica. 8ed. D’Agata, Elsevier; 2016.
Deja una respuesta
Lo siento, debes estar conectado para publicar un comentario.


