Autores
- Carlos Andrés Sepúlveda Villegas.
- Servicio de Radiología, Hospital POVISA (Vigo)
Historia Clínica
Varón de 74 años. Cuadro de 1 mes: desorientación, inestabilidad para la marcha, demencia rápidamente progresiva. Anemia leve, resto de analítica básica normal. Electroencefalograma: atrofia corticosubcortical. LCR: células 4, glucosa 84, proteínas 51.8, lactato 1.80
Proteinas 14-3-3, beta amiloide 661 y tau 2511.
		Proteinas 14-3-3, beta amiloide 661 y tau 2511.
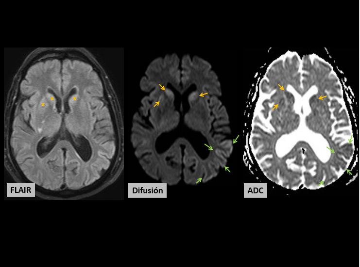
Figura1:
-FLAIR: casi imperceptible. Hiperintensidad de señal en cabeza de caudados y putamen derecho (parte más anterior)
-Difusión: secuencia más sensible. Restringen (+++), además es llamativa la afectación de la cortesa cerebral
-ADC: verdadera restricción (no es efecto T2)
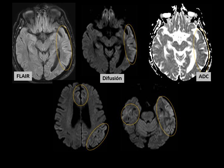
Figura2
Afectación de la corteza con patrón “giriforme”, énfasis en la difusión:
-Temporooccipital izquierda sobre todo
-Frontal parasagital bilateral, parietal izquierdo, temporobasal bilateral
		-FLAIR: casi imperceptible. Hiperintensidad de señal en cabeza de caudados y putamen derecho (parte más anterior)
-Difusión: secuencia más sensible. Restringen (+++), además es llamativa la afectación de la cortesa cerebral
-ADC: verdadera restricción (no es efecto T2)
Figura2
Afectación de la corteza con patrón “giriforme”, énfasis en la difusión:
-Temporooccipital izquierda sobre todo
-Frontal parasagital bilateral, parietal izquierdo, temporobasal bilateral
Diagnóstico.
Enfermedad de Creutzfeldt Jakob.
Hallazgos típicos en RM: Hiperseñal flair/t2 y restricción de la difusión (secuencia más sensible). No hay edema valorable en secuencia T2 ni captación de contraste.Localización: Córtex y ganglios de la base, con globos pálidos respetados.
Aumenta el VPP: Hallazgos RM en contexto clínico adecuado (demencia de rápida progresión, extrapiramidalismo, mioclonías, etc.
Hallazgos típicos en RM: Hiperseñal flair/t2 y restricción de la difusión (secuencia más sensible). No hay edema valorable en secuencia T2 ni captación de contraste.Localización: Córtex y ganglios de la base, con globos pálidos respetados.
Aumenta el VPP: Hallazgos RM en contexto clínico adecuado (demencia de rápida progresión, extrapiramidalismo, mioclonías, etc.
BIBLIOGRAFÍA:
R. G. Will FRCP. Diagnosis of new variant Creutzfeldt‐Jakob disease. Annals of neurology. May 2000; vol 47: pages 575-582
I. Zerr. Updated clinical diagnostic criteria for sporadic Creutzfeldt-Jakob disease. Brain a journal of neurology. October 2009; vol 132, pages 2659-2668
Hans A. Diagnostic Criteria for Sporadic Creutzfeldt-Jakob Disease. JAMA neurology. September 1996; vol 53: pages 913-920
Deja una respuesta
Lo siento, debes estar conectado para publicar un comentario.


