Autores
- Beatriz Brea Álvarez
- Yolanda García Hidalgo
- Mercedes Tuñón Gómez
- Ros M. Ruiz Peralbo
- Ana Alcolado Jaramillo
- Hospital Universitario Puerta de Hierro-Majadahonda
Historia Clínica
Mujer de 55 años.
Acude por tumor palpable en región mandibular derecha.
Se solicita TC facial.
Se revisa historia del PACS de la paciente (se muestran las imágenes).
		Acude por tumor palpable en región mandibular derecha.
Se solicita TC facial.
Se revisa historia del PACS de la paciente (se muestran las imágenes).
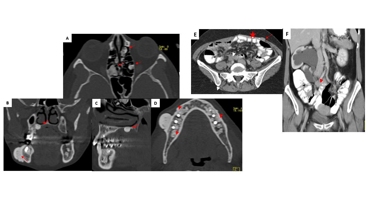
A y D: TC corte axial, ventana ósea. Múltiples lesiones radiodensas compatibles con osteomas (flechas) y odontomas (punta flecha). B: TC corte coronal, ventana ósea. C: Corte sagital, ventana ósea. Lesión radiodensa palatina (flecha doble): diente supernumerario. E: TC axial abdominal con contraste oral e intravenoso. F: TC con contraste oral e intravenoso reconstrucción coronal. Hidronefrosis derecha por atrapamiento del uréter por tumor denso e hipercaptante de morfología irregular compatible con tumor dermoide (punta flecha). Además existe tumor de similares características (flecha) adyacente a la malla metálica (*) en E.
Diagnóstico.
Síndrome de Gardner
Poliposis adenomatosa familiar (PAF) asociada a otras lesiones extracolónicas en páncreas, hígado, tiroides, duodeno y estómago.
50% de pacientes con esta entidad tienen osteomas, 48% de los cuales se localizan en el cráneo y senos, y 20% en la mandíbula. Además se pueden encontrar odontomas y dientes no erupcionados y supernumerarios.
Aunque la sospecha de la entidad la realiza Gardner en 1951 es en 1953 cuando Gardner y Richards describen la entidad de forma completa. Estudian los miembros de una familia con poliposis intestinal y observan la existencia de tumores cutáneos (quistes epidermoides, fibromas y  masas mal definidas de tejido conectivo).
Los pacientes tienen una alteración en el gen de la PAF localizado en el cromosoma 5. En la mayoría de los casos es de carácter hereditario con un patrón autosómico dominante.
Los osteomas representan el tumor más frecuente del macizo facial. Sin embargo no es habitual la multiplicidad de lesiones. La observación de múltiples osteomas (mas de tres) asociada a anomalías dentales debe hacer incluir esta entidad en el impresión diagnóstica. Su detección precoz es importante porque existe un alto riesgo de trasformación maligna de los pólipos intestinales.
BIBLIOGRAFÍA:
Gardner EJ. Genetical and clinical study of intestinal poliposis: predisposing factor for carcinoma of colon and rectum. Am J Human Genet 1951; 3: 167-176
Gardner EJ and Plenk HP. Hereditary pattern for multiple osteomas in faminy group Am J Human Genet 1952; 4: 31-36.
Fonseca LC, Kodama NK, Nunes FCF, Maciel PH, Fonseca FA, Roitberg M, et al. Radiographic assessment of Gardner’s syndrome. Dentomaxillofacial Radiol. 2007;36:121–4.
Harned RK, Buck JL, Olmsted WW, Moser RP, Ros PRExtracolonic manifestations of the familial adenomatous polyposis syndromes. AJR Am J Roentgenol. 1991;156:481-5.
Deja una respuesta
Lo siento, debes estar conectado para publicar un comentario.

