Autores
- Brigitte Beltrán Mármol
Institut de Diagnòstic per la Imatge (IDI Girona) - Marina Castellvi Juan
Neurocirugía. Hospital Universitari Dr. Josep Trueta. Girona - Gemma Mateu Esquerda
Anatomía Patológica. Hospital Universitari Dr. Josep Trueta. Girona
Historia Clínica
Paciente de 48 años con episodios de movimientos anómalos tipo “espasmos” hemifaciales izquierdos de 1 año de evolución. Antecedentes: Fumador de 1.5 paquete/día y polipos colonicos resecados (displasia epitelial de bajo grado).

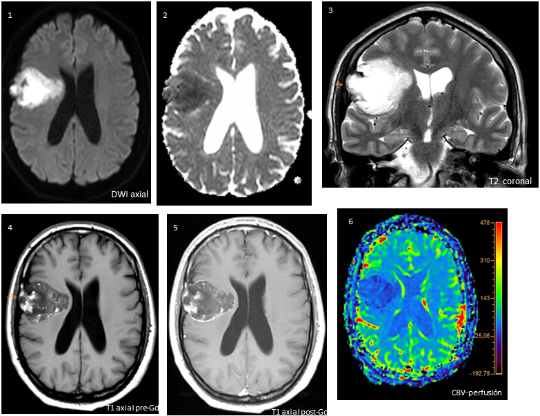
Lesión expansiva extraaxial a nivel de opérculo frontal derecho con restricción de la difusión (fig.1-2), señal heterogénea en T1 (fig.4), hiperseñal T2 (fig.3), mínimo relace periférico , sin aumento de CBV en estudio de perfusión ni edema vasogénico asociado. La lesión condiciona moderado efecto masa con leve desviación de línea media (3 mm), impronta parénquimatosa alcanzando región paraventricular y remodelación ósea de tabla interna–diploe frontal derecho (felchas rojas).
Diagnóstico.
Quiste epidermoide (localización inusual)
Lesiones predominantemente congénitas, benignas, de lento crecimiento y de origen ectodérmico. La localización más frecuente es el ángulo pontocerebeloso y región paraselar, siendo raro en convexidades cerebrales.
En RM éstas lesiones pueden tener señal variable dependiendo del contenido, siendo lo más característico hiposeñal T1 e hiperseñal T2 (similar a LCR), restricción de la difusión (secundario al contenido de queratina, debris y colesterol) y ausencia de realce o mínimo realce periférico. Es menos frecuente que presenten hiperseñal T1 /hiposeñal T2 (proteinas altas, hemorragia) y calcificaciones.
Los diagnósticos diferenciales incluyen el quiste aracnoideo, quiste dermoide, absceso, metástasis y tumores cerebrales de lento crecimiento.
El tratamiento es quirúrgico y el pronóstico es bueno.
BIBLIOGRAFÍA:
Law EK et al: Atypical intracranial epidermoid cysts: rare anomalies with unique radiological features. Case Rep Radiol. 2015:528632, 2015
Ren X et al: Clinical, radiological, and pathological features of 24 atypical intracranial epidermoid cysts. J Neurosurg. 116(3):611-21, 2012
Akahoshi et al: Atypical chronological changes on neuroimaging in the epidermoid in the frontal lobe with intracystic hemorrhage and tumor growth: Case report. Radiol Cas Rep. 2018 Dec; 13(6): 1133–1136.
Deja una respuesta
Lo siento, debes estar conectado para publicar un comentario.
