Autores
- Electra Hernández Santana
- Fidel Núñez Marín
- Ana Massuet Vilamajó
- Sira Domènech Puigcerver
- Sara Castañer Llanes
- Paloma Puyalto de Pablo
- Patricia Cuadras Collsamata
- Kawtar Mekkaui
- Malgorzata Agata Stachno. Institut de Diagnòstic per la Imatge (IDI Badalona) y Servicio de Radiodiagnóstico, HUGTIP. Badalona.
Historia Clínica
Hombre de 43 años que acude a urgencias por cuadro de 3 semanas de evolución de dificultad para la articulación del lenguaje, inestabilidad para la marcha y torpeza en los movimientos de la mano derecha. También describe episodios de sensación de giro de objetos que se se resuelven ad integrum. A la exploración física destaca nistagmo en todas las posiciones de la mirada, menor amplitud de movimiento y dismetría en extremidad superior derecha, palabra escandida y lateralización de la marcha hacia la derecha.
		
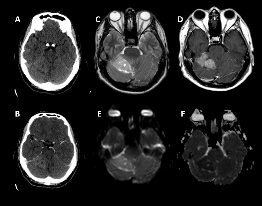
FIGURA1:
A. B. TC cráneo basal y con contraste:  lesión expansiva intraaxial en hemisferio cerebeloso derecho, levemente hiperdensa en TC basal con realce heterogéneo a expensas de áreas quísticas/necróticas en su interior y mínimo edema perilesional
C. D. E. F. RM cráneo, plano axial. Secuencias FSE T2, T1 con gadolinio y  difusión, que muestran heterogeneidad de señal T2 a expensas de áreas quísticas, sin edema perilesional, realce heterogéneo de contraste y marcada restricción de difusión con unos valores ADC muy disminuidos

FIGURA2:
Espectroscopia: patrón maligno con marcado aumento de la colina y descenso del NAA
Estudio de perfusión:  la lesión presenta aumento del volumen sanguíneo cerebral más de dos veces respecto a la sustancia blanca contralateral
Diagnóstico.
Meduloblastoma cerebeloso (AP: meduloblastoma con patrón desmoplásico/nodular (grado IV de la OMS))
Resumen:
Tumor primario maligno del SNC más frecuente en la infancia, que típicamente afecta a la línea media en la fosa posterior (vermis cerebeloso). En adultos supone tan sólo el 1% de todos los tumores cerebrales, teniendo su pico de incidencia entre los 30-40 años. Los meduloblastomas se clasifican en 4 grupos moleculares (WNT, SHH, grupo 3 y 4).  Casi todos los que presentan patrón anatomopatológico desmoplásico/nodular son del tipo SHH, siendo esta variante más frecuente en adultos con un pronóstico más favorable que el resto de subtipos [1]. Los meduloblastomas del tipo SHH se localizan periféricamente en los hemisferios cerebelosos debido a que el tumor se origina de los precursores de las células granulares que migran con la edad desde la línea media hacia la periferia de la superficie de los hemisferios. Es un tumor agresivo que tiende a diseminar vía LCR, motivo por el que siempre se ha de estudiar todo el neuroeje al diagnóstico [2].
Dada su naturaleza hipercelular se muestra espontáneamente hiperdenso en TC. En RM se presenta como  una masa expansiva localizada en hemisferio cerebeloso, hipointensa en secuencias potenciadas en T1, con intensidad variable en secuencias potenciadas en T2 debido a quistes y calcificaciones, con un realce intenso y heterogéneo, signos de restricción de la difusión y espectroscopia de aspecto maligno con aumento de la colina y descenso del NAA [3] .
El diagnóstico diferencial principal incluiría  el tumor glial de alto grado,  el linfoma (la marcada restricción de la difusión iría a favor aunque la localización no sería la típica), el hemangioblastoma sólido (por su localización y por el aumento de la perfusión) , sin poder descartar la metástasis ( ya que es la lesión cerebelosa más frecuente en adultos).
BIBLIOGRAFÍA:
[1] Northcott Paul A et al. Medulloblastomics: the end of the beginning.  Nat rev cancer. 2012; 12 (12):818-834.
[2] Acebes Martín J, Blanco García C, Álvarez-Linera Prado J et al. Tumores de la Fosa Posterior. Grupo de Neurooncología de la Sociedad Española de Neurocirugía. Ed. Schering-Plough. 2009.
[3] Shih R, Smirniotopoulos J. Posterior Fossa Tumors in Adults Patients.  Neuroimag Clin N Am. 2016; 26 (4): 493-510.
Deja una respuesta
Lo siento, debes estar conectado para publicar un comentario.
