Caso del mes Junio 2018

Autores

  • Dra. Constanza Martínez Stocker, Servicio de Radiodiagnóstico, Hospital del Mar, Parc de Salut Mar, Barcelona, [email protected].
  • Dr. Santiago Medrano Martorell, Servicio de Radiodiagnóstico, Hospital del Mar, Parc de Salut Mar, Barcelona.
  • Dr. Jaume Capellades Font, Servicio de Radiodiagnóstico, Hospital del Mar, Parc de Salut Mar, Barcelona.
  • Dra. Sofía González Ortiz, Servicio de Radiodiagnóstico, Hospital del Mar, Parc de Salut Mar, Barcelona. [email protected]

Historia Clínica

Hombre de 46 años con antecedentes de migrañas con aura y antecedentes maternos de ACV. Acude desorientado con cuadro de disartria y debilidad en extremidad superior izquierda.
Se realiza estudio con RM cerebral (RM cerebral 1).
Tras los hallazgos y la sospecha clínica, se decide realizar estudio con RM a la hermana del paciente, de 47 años y sin antecedentes patológico (RM cerebral 2).

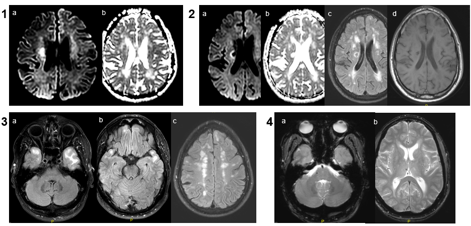
RM cerebral 1: 1.-Lesión isquémica aguda en cuerpo del núcleo caudado derecho que brilla en la difusión (a) y restringe levemente en mapa ADC (b). 2.- Infarto lacunar crónico adyacente a cuerpo del núcleo caudado derecho. No brilla en difusión (a) ni restringe en ADC (b). En FLAIR (c) se observa halo hiperintenso con centro de hiposeñal y en T1 (d) es hipointenso. 3.- FLAIR: Leucoencefalopatía confluente con afectación característica de polos temporales anteriores (a y b) y subcortical fronto-parietal (c). 4. Microsangrados crónicos en secuencia GE a nivel pontino derecho (a) y en tálamo homolateral.

RM cerebral 2 (FLAIR-axial): Leucopatía extensa, confluente y en localizaciones características: en polos temporales anteriores (2a), en cápsulas externas (2b-c), y sustancia blanca subcortical con cierto respeto de lóbulos occipitales (2d).

Diagnóstico Cadasil:

(Cerebral Autosomal Dominant Arteriopathy with Subcortical Infarcts and Leukoencephalopathy)

La arteriopatía cerebral autosómica dominante con infartos subcorticales y leucoencefalopatía es como señala su nombre, una enfermedad hereditaria, producida por la mutación del gen NOTCH3 en el cromosoma 19q12.

Su expresión sintomática comienza alrededor de la 3ª década de vida y se caracteriza por: infartos recurrentes, deterioro cognitivo (demencia en un 20-90%), migrañas con aura (hasta en un 40% de los pacientes)  y trastornos del ánimo (hasta en un 30% de los pacientes).

Su diagnóstico se basa en el cuadro clínico, hallazgos de la neuroimagen y requiere la identificación de la mutación genética. La histología demuestra vasculopatía de pequeño y mediano vasos, sin arteriosclerosis ni depósito de amiloide.

El estudio de elección es la resonancia magnética que muestra los hallazgos característicos:

  1. Hiperintensidades confluentes de la sustancia blanca, característicamente de inicio a nivel de polos temporales (86%)  y cápsulas externas (93%). Existe un relativo respeto del  lóbulo occipital, de la sustancia blanca orbitofrontal y del córtex. Usualmente aparecen antes del inicio de la clínica.
  2. Infartos lacunares subcorticales (en centros semiovales, tálamo, ganglios basales y puente). Su cuantía es importante en la predicción del deterioro cognitivo.
  3. Microhemorragias: Descritas en un 45% (25-70%) de los casos. Pueden estar presentes tanto en pacientes sintomáticos como asintomáticos. No poseen una distribución característica, aunque existe preferencia por áreas cortico-subcorticales, sustancia blanca, tálamo y tronco del encéfalo.
  4. Atrofia cerebral.

Dentro del diagnóstico diferencial podemos encontrar: el MELAS (síndrome encefalopatía mitocondrial, acidosis láctica y episodios stroke-like), las vasculitis, la encefalopatía hipertensiva y la angiopatía amiloide.

No existe tratamiento específico y el curso de la enfermedad es progresivo, con una mortalidad descrita alrededor de la 6ª y 8ª década de vida.

BIBLIOGRAFÍA:

  1. Michael K. Liem. Cerebral Autosomal Dominant Arteriopathy with Subcortical Infarcts and Leukoencephalopathy: Progression of MR Abnormalities in Prospective 7-year Follow-up Study. Radiology. 2008; Volume 249: Number 3.
  2. Rivka van den Boom, MD. Cerebral Autosomal Dominant Arteriopathy with Subcortical Infarcts and Leukoencephalopathy: MR Imaging Findings at Different Ages—3rd–6th Decades. Radiology. 2003; Volume 229: 683–690.
  3. Dragan Stojanov. Imaging characteristics of cerebral autosomal dominant arteriopathy with subcortical infarcts and leucoencephalopathy (CADASIL). Bosnian Journal of Basic Medical Science. 2015; 15(1):1-8.

Deja una respuesta