Autores
- Ruth Expósito Díaz – Servicio de Radiodiagnóstico-Hospital Dr. Pesset-Valencia- [email protected]
- Eva Casanovas Feliu – Servicio de Radiodiagnóstico-Hospital General de Castellón- Castellón- [email protected]
- Héctor Aparicio Collado – Servicio de Neurología-Hospital General de Castellón-Castellón- [email protected]
Historia Clínica
Mujer de 68 años, hipertensa, con cuadro de amnesia global transitoria de horas de duración. El EEG reveló actividad paroxística focal en lóbulo temporal izquierdo.


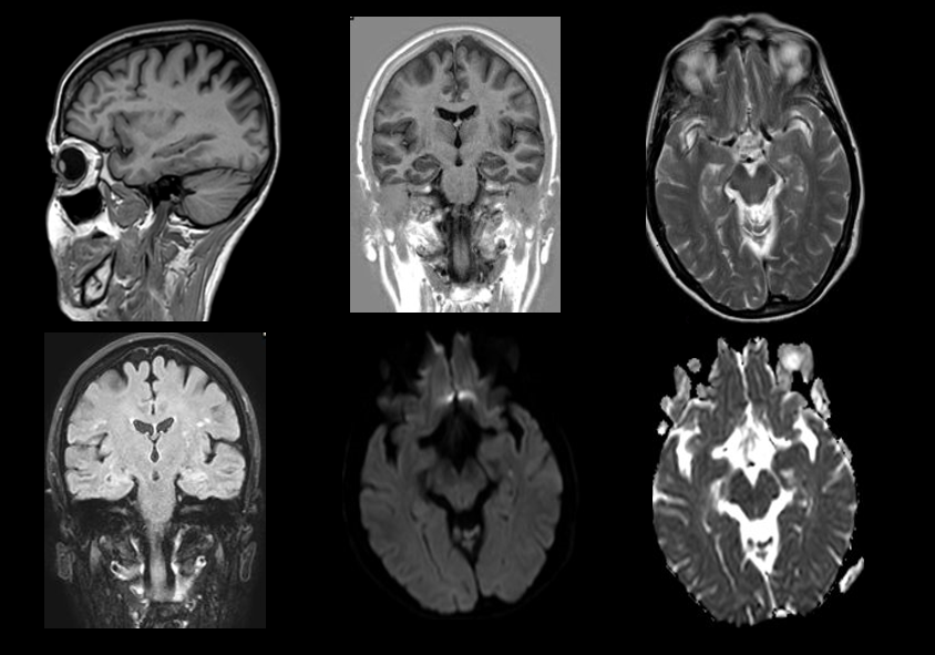
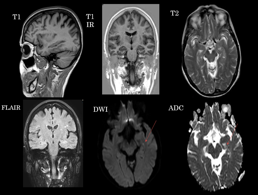
Secuencias de RM sin contraste intravenoso. En difusión se aprecia un foco de restricción puntiforme en hipocampo, que no se manifiesta en otras secuencias.
Diagnóstico Radiológico:
Lesiones puntiformes en secuencia de difusión en el contexto de amnesia global transitoria.
RESUMEN:
La amnesia global transitoria (AGT) es un síndrome clínico más prevalente en pacientes de edad media caracterizado por amnesia anterógrada reversible ligada a cuestionamiento repetitivo, junto a un grado variable de amnesia retrógrada para los acontecimientos recientes.
HALLAZGOS RADIOLÓGICOS:
– TC: Sin alteraciones en la mayoría de los casos.
– RM:
- Puede ser normal.
- Típicamente focos puntiformes que restringen en difusión localizados en hipocampo que suelen ser unilaterales y de predominio en lóbulo temporal izquierdo, aunque pueden ser bilaterales. En ocasiones pueden observarse como lesiones hiperintensas en las secuencias potenciadas en T2. Típicamente suelen desaparecer en control posteriores (>2 semanas).
- La fisiopatología no está clara, habiéndose relacionado con fenómenos isquémicos (tales como AIT), migraña, epilepsia y recientemente con fenómenos de congestión venosa poco estudiados. La restricción en difusión (en ocasiones reversible) podría sugerir edema citotóxico como parte de la fisiopatología del cuadro.
DIAGNÓSTICO DIFERENCIAL
Isquemia en territorio de arteria cerebral posterior.
Amnesia transitoria epiléptica.
Amnesia psicógena.
Encefalitis límbica.
TRATAMIENTO
No precisa.
BIBLIOGRAFÍA:
-Bartsch T, Butler C. Transient amnesic syndromes. Nature Reviews Neurology volume 9, pages 86–97 (2013).
-David R Spiegel, Justin Smith et al. Transient global amnesia: current perspectives. Neuropsychiatr Dis Treat. 2017; 13: 2691–2703.
-Sarah Kremen, MD.Transient global amnesia. www.uptodate.com. Feb 2018
Deja una respuesta
Lo siento, debes estar conectado para publicar un comentario.
