Autores
- SANDRA DELGADO SAIZ – Servicio de Radiodiagnóstico – Hospital Universitario Basurto – Bilbao – [email protected] , [email protected]
- JUAN JOSÉ GÓMEZ MUGA – Servicio de Radiodiagnóstico – Hospital Universitario Basurto – Bilbao – [email protected]
- MARIMAR SARMIENTO DE LA IGLESIA – Servicio de Radiodiagnóstico – Hospital Universitario Basurto – Bilbao – [email protected]
Historia Clínica
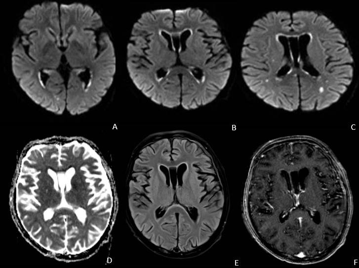
Hombre de 40 años. Antecedentes de VIH y linfoma en tratamiento con QT. Presenta desorientación.


Diagnóstico Radiológico:
Ventriculitis por citomegalovirus (CMV)
RESUMEN:
El CMV es un miembro de la familia herpes virus (HHV 5). Es la causa más frecuente de infección vírica en pacientes con SIDA (reactivación del virus latente en inmunodepresión (CD4 < 100 células/mm3)
- Tiene predilección por las regiones ependimarias y subependimarias (ventrículo/ependimitis y meningoencefalitis)
- Hallazgos radiológicos:
- RM es el método de elección
- El CMV afecta a la sustancia gris y el epéndimo ventricular en mayor grado que a la sustancia blanca, lo que lo distingue de otras encefalitis en pacientes VIH
- El hallazgo más característico es la presencia de una hiperintensidad subependimaria en la secuencia FLAIR con realce tras la administración de contraste intravenoso y restricción a la difusión
- Puede tener un extensión centrífuga desde el sistema ventricular a la sustancia gris o blanca.
- *En infección congénita: Lisencefalia con córtex fino , hipoplasia cerebelosa , retraso en la mielinización, ventriculomegalia y calcificaciones periventriculares
DIAGNÓSTICO DIFERENCIAL
Encefalitis VIH, LMP, linfoma cerebral primario.
DIAGNÓSTICO ANATOMO-PATOLÓGICO
Inclusiones intranucleares “en ojo de búho” en células ependimarias, subependimarias y de la sustancia blanca
TRATAMIENTO
Ganciclovir y Foscarnet, TARGA
BIBLIOGRAFÍA:
Seok JH et al. Diffusion MRI findings of cytomegalovirus-associated ventriculitis: a case report. The British Journal of Radiology, 84 (2011), e179–e181.
Hyun JW et al. Teaching NeuroImages: Periventricular restricted diffusion MRI in CMV ventriculitis. Neurology. 2015 Apr 21;84(16):e121.
Renard T et al. Cytomegalovirus encephalitis: Undescribed diffusion-weighted imaging characteristics. Original aspects of cases extracted from a retrospective study, and from literature review. J Neuroradiol. 2016 Dec;43(6):371-377
Deja una respuesta
Lo siento, debes estar conectado para publicar un comentario.
