Autores
- Dr. Jaime Salvador García. Hospital Universitario Doctor Peset (Valencia) [email protected]
- Dr. Andrés Painel Seguel
- Dr. Gregorio Martín Benítez
Historia Clínica
Varón de 39 años, sin antecedentes de interés, con edema palpebral y leve «inflamación» en ojo derecho.
Se solicita TC orbitario para valorar engrosamiento glandular y/o proceso inflamatorio/infeccioso.


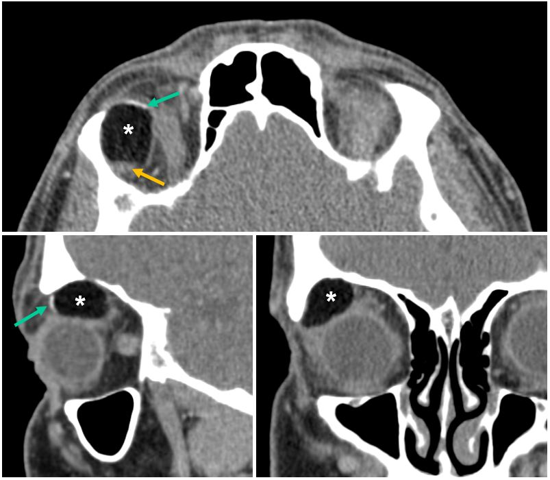
Imagen 1. Imágenes de TC orbitario tras la administración de CIV. Se evidencia masa en cuadrante superior externo de la órbita derecha, en topografía de glándula lacrimal. Presenta morfología ovalada y márgenes lisos, con valores de atenuación grasa (*) y componente lineal de densidad calcio (flecha verde) en polo anterior y de partes blandas en polo posterior (flecha amarilla).
No se observan signos inflamatorios ni repercusión del plano óseo subyacente.
		No se observan signos inflamatorios ni repercusión del plano óseo subyacente.
Diagnóstico Radiológico:
Quiste orbitario del desarrollo (dermoides, epidermoides y teratoma).
RESUMEN:
Los quistes orbitarios surgen de la inclusión de un elemento ectodérmico durante el cierre del tubo neural, donde los elementos dérmicos quedan atrapados en la línea de sutura, diploe, meninges o cuero cabelludo. Los quistes dermoides y epidermoides se encuentran con mayor frecuencia en el cuadrante temporal superior de la órbita, adyacente a la línea de sutura cigomático-frontal.
La mayoría de estas lesiones son de crecimiento lento, aunque algunas pueden crecer rápidamente en adultos. Se observan como masas de densidad grasa que no realzan tras la administración de contraste intravenoso.
Los quistes dermoides presentan densidades de grasa y calcio.
Los quistes epidermoides pueden exhibir características de imagen similares, pero la calcificación no es una característica habitual.
BIBLIOGRAFÍA:
Jung, W., Ahn, K., Park, M., Kim, J., Choi, J., Kim, B. and Hahn, S. (2007). The Radiological Spectrum of Orbital Pathologies that Involve the Lacrimal Gland and the Lacrimal Fossa. Korean Journal of Radiology, 8(4), p.336.
Mafee MF. Orbit: embryology, anatomy, and pathology. In: Som PM, ed. Head and neck imaging, 2nd ed. St. Louis: Mosby, 2003:529-654
Deja una respuesta
Lo siento, debes estar conectado para publicar un comentario.
