Autores
- Dra. Garazi Elizundia López. Servicio de Radiodiagnóstico Hospital Universitario Basurto (Bilbao) [email protected]
- Dr. Juan José Gómez Muga. Servicio de Radiodiagnóstico. Hospital Universitario Basurto (Bilbao) [email protected]
- Dr. Mikel Grau García. Servicio de Radiodiagnóstico. Hospital Universitario Basurto (Bilbao)  mikel.graugarcia@osakidetza.eus 
Historia Clínica
- Varón de 60 años con afasia global brusca.



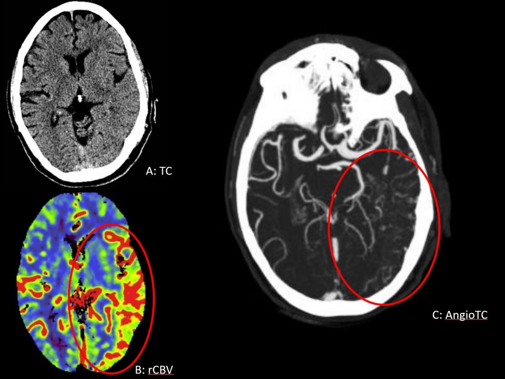
TC multimodal (A, B): Borramiento de surcos en región temporoccipital izquierda con aumento del rCBV asociado y estructuras vasculares anómalas en angioTC (C).

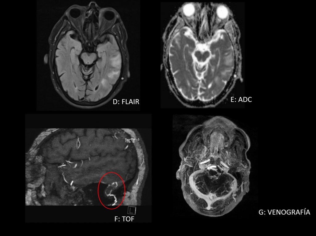
RM cerebral: Hiperseñal en FLAIR (D) con difusión facilitada (E) compatible con edema vasogénico. Hiperseñal en TOF rodeando a la pared del seno sigmoide a partir de una rama occipital hipertrófica de la ACE (F). Los senos venosos están permeables (G).
		Diagnóstico Radiológico:
Fístula dural arteriovenosa
RESUMEN:
- Las fístulas durales arteriovenosas (A-V) constituyen hasta el 10-15% de todas las malformaciones vasculares intracraneales.
- Con la generalización de los estudios de angioTC y angioRM es frecuente encontrar signos directos o indirectos de esta patología en estas pruebas de imagen no invasivas.
- Presentan una sintomatología y formas de presentación muy variables. En nuestro caso, la afasia global se debía a la extensa afectación de las áreas temporal y parietal del hemisferio dominante izquierdo que se corresponde con las áreas sensitivas del lenguaje.
- Las manifestaciones radiológicas suelen ser secundarias al aumento del flujo venoso que condicionan, que se traduce en áreas de edema vasogénico en el parénquima cerebral o bien hemorragias en diferentes localizaciones.
- 
Debemos sospechar FAV en estudios de TC o RM: – Estructuras vasculares prominentes SIN nidus. – Aumento de volumen en perfusión. – Edema con microhemorragia en T2*. – Hiperseñal venosa en TOF. – Relleno venoso precoz en estudios dinámicos. 
- El diagnóstico debe ser confirmado mediante arteriografía, que sigue constituyendo la técnica diagnóstica de elección. Permite su clasificación en diferentes tipos, lo que resulta fundamental de cara al manejo terapéutico.
- El tratamiento, en el caso de fístulas con sintomatología o riesgo de complicación, consiste en la desconexión o cierre de la comunicación arteriovenosa, bien mediante técnicas de radiología intervencionista endovascular o mediante cirugía abierta.
DIAGNÓSTICO DIFERENCIAL:
La sobrecarga venosa del territorio superficial posterior de la ACM izquierda (C) se puede deber a:
– fistula dural en dicha localización
– trombosis del seno transverso y/o sigmoideo izquierdo, que en este caso se encontraban permeables.
BIBLIOGRAFÍA:
- Gandhi D et al. Intracranial dural arteriovenous fistulas: classification, imaging findings, and treatment. AJNR Am J Neuroradiol. 2012;33 (6): 1007-13.
- Mossa-Basha M et al. Imaging of cerebral arteriovenous malformations and dural arteriovenous fistulas. Neurosurg Clin N Am. 2012 Jan;23(1):27-42.
Deja una respuesta
Lo siento, debes estar conectado para publicar un comentario.
