Autores
- Dra. José Antonio González Nieto. Hospital Universitario Dr. Peset (Valencia) [email protected]
- Dra. María Dolores Monedero Picazo. Hospital Universitario Dr. Peset (Valencia) [email protected]
- Dr. Isabel García Chaume. Hospital Universitario Dr. Peset (Valencia) [email protected]
Historia Clínica
- Mujer 58 años sin antecedentes de interés, que ingresa por diplopia binocular, ataxia y parestesias hemifaciales izquierdas.


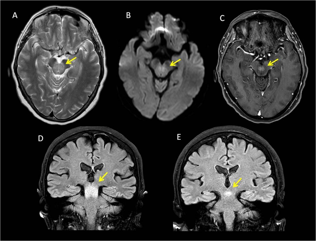
A. TSE T2 transversal
B. B1000 transversal
C. T1 EG 3D con supresión grasa tras administración de gadolinio iv.
D. FLAIR coronal
E. FLAIR coronal tras un mes de tratamiento
Área de hiperintensidad en secuencias T2/FLAIR de la vertiente central del mesencéfalo que preserva la arquitectura del mismo, con una zona central que restringe la difusión y realza tras la administración de contraste a nivel del brachium conjunctivum. El control al mes tras tratamiento específico muestra una reducción muy significativa de la alteración de señal a nivel mesencefálico.
Diagnóstico Radiológico:
Encefalitis de Bickerstaff
RESUMEN:
- La encefalitis de Bickerstaff (EB) se considera una rara enfermedad inmuno-mediada del sistema nervioso central, que forma parte del espectro del síndrome de anticuerpo IgG anti-Gq1b, donde también se incluyen el síndrome de Miller-Fischer y la oftalmoparesia aguda sin ataxia.
- La EB clínicamente se caracteriza por oftalmoplejia y ataxia. También puede aparecer somnolencia, alteración hemisensorial y piramidalismo. En el estudio de resonancia magnética es característico la afectación del mesencéfalo con un claro predominio central y, en menor medida, a ganglios de la base, especialmente el tálamo. Esta afectación se traduce en un aumento de señal en secuencias T2 y FLAIR que puede mostrar un discreto realce y restricción a la difusión. Aunque suele ser una enfermedad autolimitada y de curso benigno, los casos graves pueden tratarse con altas dosis de corticoides +- inmunoglobulinas intravenosas, con una mejoría tanto clínica como en los estudios de imagen tras la resolución de los síntomas.
DIAGNÓSTICO DIFERENCIAL:
Encefalopatía tóxico-metabólica (como paradigma estaría la encefalopatía de Wernicke), la rombencefalitis infecciosa, la esclerosis múltiple y la enfermedad de Behçet .
BIBLIOGRAFÍA:
- Odaka M, Yuki N, Hirata K. Anti-GQ1b IgG antibody syndrome: clinical and immunological range. J Neurol Neurosurg Psychiatry 2001;70:50–55.
- Brunberg JA. Ataxia. Am J Neuroradiol 2008; 29:1420 –22.
Deja una respuesta
Lo siento, debes estar conectado para publicar un comentario.
