Autores
- Dra. Jimena Angarita Beltrán. Servicio de Radiodiagnóstico, Complejo Hospitalario de Navarra (Pamplona) [email protected]
- Dra. Teresa Cabada Giadas. Servicio de Radiodiagnóstico, Complejo Hospitalario de Navarra (Pamplona) [email protected]
Historia Clínica
- Varón de 67 años sin AP de interés. Consulta por diplopía binocular, disartria y marcha inestable. TC urgencias normal. Se realiza RM, se inicia Metilprednisolona. Tras empeoramiento clínico se realiza nueva RM. El paciente fallece a los 15 días de la 2º RM.


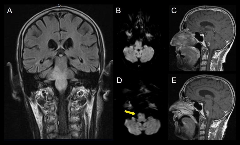
A. FLAIR coronal
B.Difusión axial. Alteración de señal bulbo protuberancial de predominio del lado derecho, que se extiende al pedúnculo cerebeloso, sin restricción a la difusión.
C. T1+Gd sagital. Foco de realce bulbar anterolateral derecho.
25 días después se realiza nueva RM que muestra
D. Difusión axial. Restricción a la difusión en las lesiones bulbo protuberanciales (flecha amarilla).
E. T1+Gd sagital. Mayor realce en las secuencias con contraste.
Diagnóstico Radiológico:
Linfoma difuso de células grandes B, primario del sistema nervioso central.
RESUMEN:
Linfoma no-hodgkiniano con origen en el sistema nervioso central, desarrollado generalmente a partir de células B. Representan alrededor del 4% de todos los tumores cerebrales primarios. Su prevalencia esta en aumento por el mayor numero de pacientes inmunodeprimidos y el crecimiento de la esperanza de vida. Es frecuente que se presenten con deterioro cognitivo y cefalea, aunque pueden presentar deficits neurológicos o crisis. En el TC se pueden ver lesiones únicas o múltiples, bien delimitadas, generalmente hiperdensas. En la RM se objetivan como lesiones iso/hipointensas en T1 y T2, puediendo ser hiperintensas en FLAIR. Presentan restricción a la difusión hasta en el 90% de los casos. Realzan intesamente tras la administración de gadolinio, diferenciando el centro de la lesión sólida del edema adyacente. El principal diagnóstico diferencial se debe hacer con las metástasis y los glioblastomas. El estudio de perfusión ayudaría a diferenciar entre estas 3 patologías.
Tratamiento: Los corticoides son citolíticos para el LPSNC y pueden causar una respuesta parcial o total en el 40% de los pacientes no inmunodeprimidos, aunque es de corta duración y no tiene efecto curativo. La combinación de quimioterapia y radioterapia se considera actualmente el mejor sistema de tratamiento.
BIBLIOGRAFÍA:
- Prakkamakul, Supada. MRI Patterns of Isolated Lesions in the Medulla Oblongata. JOURNAL OF NEUROIMAGING. [Epub ahead of print]
- M. Gelabert-González. Linfomas primarios del sistema nervioso central. Neurología. 2013;28(5):283-293
Deja una respuesta
Lo siento, debes estar conectado para publicar un comentario.
