Autores
- Dra. Isabel García Chaume. Hospital Universitario Dr. Peset (Valencia) [email protected]
- Dra. María Dolores Monedero Picazo. Hospital Universitario Dr. Peset (Valencia) [email protected]
m - Dr. Jose Antonio González Nieto. Hospital Universitario Dr. Peset (Valencia) josea_gnieto@hotma
il.com
Historia Clínica
- Varón de 40 años con esclerosis múltiple remitente-recurrente ya conocida, que consulta por disartria de varios días de evolución.


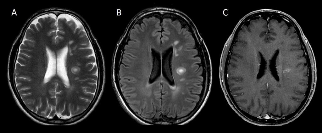
A. Imagen RM TSE T2 transversal.
B. Imagen RM FLAIR transversal.
C. Imagen RM EG T1 3D con supresión grasa tras administración de gadolinio iv.
Múltiples lesiones desmielinizantes ya conocidas de distribución supratentorial bilateral, periventricular y yuxtacortical. Se observa aparición de una nueva lesión desmielinizante en centro semioval izquierdo de 15 mm con morfología lamelar, sin edema circundante ni efecto masa significativo, que muestra realce en anillo incompleto con aspecto «en capas de cebolla».
Diagnóstico Radiológico:
Esclerosis concéntrica de Balo.
RESUMEN:
– La esclerosis concéntrica de Balo (ECB) se considera una rara enfermedad desmielinizante del sistema nervioso central, una variante de la esclerosis múltiple (EM). Se caracteriza por presentar lesiones concéntricas en anillo que alternan zonas de desmielinización y zonas con preservación de la mielina en la sustancia blanca. Su tratamiento consiste en altas dosis de corticoides, y según el caso, inmunoterapia y plasmaféresis, de igual modo que en la EM.
– Se ha descrito como una enfermedad grave con una rápida progresión. Sin embargo, con el aumento de los estudios de resonancia magnética (RM) de los últimos años, se han encontrado lesiones con patrón Balo-like en casos menos agresivos, con progresión más lenta e incluso regresión, demostrando la coexistencia de lesiones de ECB y lesiones de EM típica (como en el caso que presentamos), la desaparición de las lesiones de Balo o la transformación de estas últimas en lesiones de EM típica. Estos hallazgos sugieren que se trata de un espectro de manifestaciones dentro la misma enfermedad.
– Por ello, ante la aparición en RM de lesiones sugestivas de ECB en pacientes con EM conocida, conviene realizar controles evolutivos y esperar a la evolución tras el tratamiento, para diagnosticar correctamente el proceso patológico en curso.
BIBLIOGRAFÍA:
– Bela Purohit, Eranga Ganewatte, Bettina Schriner; Spyros Kollias. Balo´s Concentric Sclerosis with Acute Presentation and Co-Existing Multiple Scleroris-Typical Lesions on MRI. Case Rep Neurol. 2015; 7:44-50.
– Yongmei Li, Peng Xie, Xiao Fan, Huamin Tang. Balò´s concentric sclerosis presenting with benign clinical course and multiple sclerosis-like lesions on magnetic resonance images. Neurology India. 2009; 57.
– Giuseppe Iannucci, Mario Mascalchi, Fabrizio Salvi, Massimo Filippi. Vanishing Balò-like lesions in multiple sclerosis. Neurol Neurosurg Psychiatry. 2000; 69: 399-400.
Deja una respuesta
Lo siento, debes estar conectado para publicar un comentario.
