Autores
- Dra. Tania Rocha Íñigo. Radiodiagnóstico, Hospital Universitario Virgen del Rocío (Sevilla), [email protected]
- Dr. Luis Quintana Barriga. Radiodiagnóstico, Hospital Universitario Virgen del Rocío (Sevilla), [email protected]
- Dra. Pilar Piñero Radiodiagnóstico, Hospital Universitario Virgen del Rocío (Sevilla)
Historia Clínica
-
Paciente varón de 72 años con antecedentes de FA y epilepsia parcial vascular que acude por crisis parciales continuadas y cuadro de hemiparesia derecha.


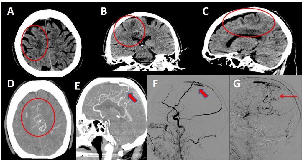
A-B-C. Cortes axial, coronal y sagital de TC craneal sin contraste donde se visualizan áreas de hipodensidad con patrón vasogénico en sustancia blanca subcortical de la circunvolución del cíngulo y frontal superior derechas, así como estructuras vasculares serpiginosas hiperdensas en los surcos adyacentes.
D-E. ANGIOTC arterial donde se observa una abundancia de vasos arteriales piales de pequeño calibre en los surcos de ambas regiones perirolándicas. Relleno precoz de algunas de las venas corticales de drenaje del vértex y parasagitales, que abocan y rellenan precozmente el tercio medio del seno sagital superior.
F-G. Arteriografía selectiva de ACC derecha donde se observan ramas frontal y parietal de arteria meníngea media derecha comunicando con tercio medio del seno sagital superior, produciendo su relleno precoz a dicho nivel, con drenaje a venas corticales dilatadas y ectásicas.
Diagnóstico Radiológico:
Fístula arteriovenosa dural tipo IV de Cognard
RESUMEN:
Las FAVD intracraneales son comunicaciones anómalas de alto flujo entre arterias durales y venas o senos venosos, que asientan entre las hojas de la duramadre y suponen el 10-15% de todas las malformaciones intracraneales. En el adulto se consideran lesiones adquiridas, no muestran preferencia por ningún sexo y rara vez son múltiples.
Los síntomas con los que se puede presentar se dividen en benignos (cefalea, crisis epiléptica, tinnitus, afectación de pares craneales) y malignos (hemorragias, déficit neurológico no hemorrágico distinto de pares craneales, demencia, papiledema, encefalopatía difusa). Estos últimos están en clara relación con un patrón de drenaje venoso cortical, y exige un diagnóstico y tratamiento precoces.
La TC es la técnica de imagen inicial para enfocar un primer diagnóstico diferencial. Presenta baja sensibilidad, aunque existen algunos signos que podrían sugerir una FAVD como son las hemorragias, infartos venosos, el edema cerebral focal, asimetrías/trombosis de senos durales, engrosamiento de senos/venas de drenaje, etc. La RM podría ayudar en el diagnóstico observando vacíos de flujo en los surcos corticales sin evidencia de un nido intermediario. La arteriografía es la prueba gold estándar para establecer el diagnóstico definitivo, la clasificación y la posibilidad de tratamiento endovascular.
El tratamiento de primera elección es el endovascular, siendo el objetivo la oclusión completa de la FAVD, quedando relegada la indicación quirúrgica cuando este tratamiento resulte imposible o bien cuando la angioarquitectura sea muy compleja.
El diagnóstico diferencial principal de esta patología incluye el episodio isquémico agudo, MAV y la trombosis o estenosis de seno dural.
BIBLIOGRAFÍA:
- Kuwayama N. Classification and diagnosis of intracranial dural arteriovenous fistulas. Brain Nerve.2008;60:887-95
- Gandhi D. Intracranial dural arteriovenous fistulas: Classification, imaging findings, and treatment. AJNR Am J Neuroradiol. 2012;33;1007–13.
- Igor Paredes et al. Fístulas durales arteriovenosas intracraneales. Experiencia con 81 casos y revisión de la literatura. Neurocirugía. 2013;24:141-51
Deja una respuesta
Lo siento, debes estar conectado para publicar un comentario.
