Autores
- Dr. Luis Quintana Barriga. Radiodiagnóstico, Hospital Universitario Virgen del Rocío (Sevilla), [email protected].
- Dra. Tania Rocha Íñigo. Radiodiagnóstico, Hospital Universitario Virgen del Rocío (Sevilla), [email protected]
- Dra. Pilar Piñero Radiodiagnóstico, Hospital Universitario Virgen del Rocío (Sevilla)
Historia Clínica
-
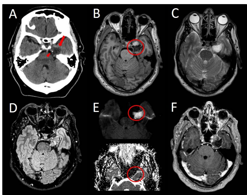
Varón de 65 años, consulta por cifras tensionales altas y cefalea. Se realiza TC objetivándose imagen sugestiva de LOE intracraneal (imagen A). Posteriormente RM.


A.- TC sin contraste, lesión hipodensa paraselar izquierda, de bordes bien definidos (flecha) con microcalcificaciones (cabeza de flecha).
B.- T1, lesión extraaxial de señal interna heterogénea, en seno cavernoso-cavum de Meckel izquierdo. Bien definida, íntimamente relacionada con porción cisternal del trigémino y que ejerce efecto masa sobre circunvolución parahipocampal izquierda sin comportamiento infiltrativo.
C.- T2, lesión hiperintensa con polo anterior de menor intensidad.
D.- FLAIR intensidad de señal heterogénea y polo anterior hipointenso.
E.- DIFUSIÓN y mapa ADC, existe una fuerte restricción a la difusión del polo posterior.
F.- CONTRASTE, la ligera captación de contraste periférica circunferencial.
Diagnóstico Radiológico:
QUISTE EPIDERMOIDE DEL SENO CAVERNOSO
RESUMEN:
Los quistes epidermoides representan el 1% de los tumores intracraneales primarios y se encuentran con mayor frecuencia en el ángulo pontocerebeloso (40-50%), siendo la cisterna supraselar la 3ª localización en frecuencia aunque la afectación del seno cavernoso es aun más rara.
Generalmente asintomáticos pero como consecuencia del efecto masa pueden cursar con cefalea (síntoma más frecuente), déficits de pares craneales, crisis convulsivas y en el caso de rotura provocar un cuadro de meningitis granulomatosa.
En la TC se presentan como una masa de bordes bien definidos de densidad similar al LCR y que no realzan con el contraste, pudiendo encontrar calcificaciones hasta en el 25%.
En RM se presentan como lesiones:
– Isointensas o ligeramente hiperintensas en T1 y T2
– Realce heterogéneo en FLAIR
– Restringen fuertemente la difusión.
– No realzan con el contraste o lo hacen mínimamente en anillo en un 25% de casos.
Puede plantearse diagnóstico diferencial :
– Quistes aracnoideos, isointensos en todas las secuencias y no restringen la difusión.
– Quistes dermoides, que tienen densidad grasa en la TC.
– Neoplasias quísticas, que generalmente realzan.
– Neurocistercosis, habitualmente realza y presentan edema o gliosis periferica.
Su tratamiento es la exéresis completa incluyendo la cápsula para evitar la recidiva.
BIBLIOGRAFÍA:
- Osborn AG. Intracranial cysts: radiologic-pathologic correlation and imaging approach. Radiology. 2006;239 (3): 650-64.
- Gharabaghi. Surgical Neurology. Epidermoid cysts of the cavernous sinus. Volume 64 , Issue 5 , 428 – 433.
- Chen CY. Intracranial epidermoid cyst with hemorrhage: MR imaging findings. AJNR Am J Neuroradiol. 2006;27 (2): 427-9
Comments 1
Add CommentDeja una respuesta
Lo siento, debes estar conectado para publicar un comentario.

QUE QUIERE DECIR «LOE» USTEDES LOS AUTORES SON UNOS PRIVONES DESCORTESES. FY