Autores
- Dra. Juana Forner Giner
- Dr. Melchor Flores de la Torre
- Dr. Francisco Aparisi Rodriguez
Hospital Nueve de Octubre. Grupo NISA (Valencia)
Historia Clínica
- Mujer de 50 años, con clínica de proptosis. Sin antecedentes conocidos ni otros síntomas.


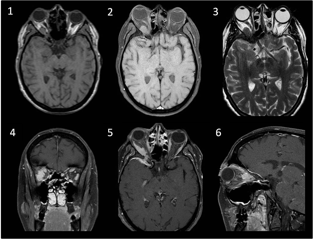
FIGURAS 1, 2: Secuencias SE T1, sin y con supresión grasa donde se observa tumoración de partes blandas, intraconal adyacente al músculo recto externo.
FIGURA 3: Secuencia SE T2, que muestra hipointensidad de señal de la lesión.
FIGURA 4, 5: Secuencias T1 con supresión grasa y administración de Gd. Marcada captación de contraste homogéneo, que se extiende al espacio extraconal.Afecta a toda la longitud del músculo, sin respetar la inserción.
Diagnóstico Anatomopatológico:
PSEUDOTUMOR ORBITARIO
RESUMEN:
El pseudotumor orbitario es la segunda causa más frecuente de proptosis. Consiste en un infiltrado inflamatorio no granulomatoso de localización variable en la órbita, que puede tener varias formas clínicas. Los pacientes pueden presentar quemosis, exoftalmos u oftalmoplejia dolorosa.
Su causa es inflamatoria y generalmente unilateral. Existen múltiples patrones radiológicos, en este caso se trata de una miositis ( que es el patrón más frecuente). Suele afectar a uno o varios músculos, sobre todo rectos inferiores y laterales. Como hallazgo típico puede observarse el engrosamiento de la inserción anterior del músculo y de la úvea-esclera adyacente. Se presenta hipointensa en las secuencias T1, y T2, con intenso realce con Gadolinio. Puede afectar al espacio intra y extraconal (como es este caso) con formas infiltrativas difusas que pueden extenderse fuera de la órbita y afectar al ápex petroso , fosa pterigo-palatina y seno cavernoso.
La afectación incluye la inserción tendinosa anterior del músculo (a diferencia de la oftalmopatia tiroidea)
El tratamiento son los corticoides.
DIAGNÓSTICO DIFERENCIAL:
– Oftalmopatía tiroidea (enfermedad de Graves) : se observa engrosamiento de la musculatura extrínseca ocular, respetando las inserciones tendinosas.
– Patología infecciosa e inflamatoria.
– Linfoma: lesión tumoral maligna más frecuente en esta topografía. Captación homogénea.
– Metástasis.
BIBLIOGRAFÍA:
– Inflammatory pseudotumor orbitae: an atypical manifestation of giant cell arteritis. Hittinger M, Berlis A, Pfadenhauer K. Clin Neuroradiol. 2015 Dec;25(4):411-4″
Deja una respuesta
Lo siento, debes estar conectado para publicar un comentario.
