Autores
- Antonio Jesús Mosqueira Martínez. Servicio de Radiodiagnóstico. Complexo Hospitalario Universitario de Santiago de Compostela. E-mail: [email protected]
- Sebastián Capurro Ferrer. Sección de Neurorradiología. Servicio de Radiodiagnóstico. Hospital Universitari Clinic de Barcelona. E-mail: [email protected]
Historia Clínica
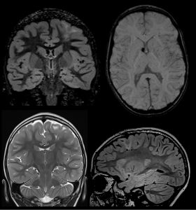
- Niño de 4 años en estudio por crisis comiciales.
La Esclerosis Tuberosa (ET) es un síndrome neurocutáneo con herencia autosómica dominante caracterizado por una amplia variedad de lesiones hamartomatosas multiorgánicas y manifestaciones neurológicas.
Su triada clínica característica consiste en lesiones cutáneas, retraso mental y convulsiones.
Se han establecido 11 criterios diagnósticos mayores y 6 menores. La presencia de dos criterios mayores o de un criterio mayor y dos criterios menores se considera suficiente para el diagnóstico definitivo. El diagnóstico diferencial se hace con las displasias corticales y la infección congénita por CMV.
Los túberes corticales (criterio mayor), que aparecen en más del 95% de casos, son lesiones hipointensas en T1 e hiperintensas en T2, que realzan ocasionalmente con contraste.
Los nódulos subependimarios (criterio mayor), aparecen en más del 95% de casos, son lesiones que se disponen en los márgenes laterales de los ventrículos laterales y frecuentemente están calcificadas.
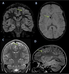
Los astrocitomas subependimarios de células gigantes (criterio mayor), se localizan típicamente en el agujero de Monro, y presentan un crecimiento lento y tamaños superiores a un centímetro.
Las bandas de migración radial en la sustancia blanca (criterio menor), reflejan una alteración en el proceso de migración de las neuronas desde la matriz germinal subependimaria hasta la corteza y se observan en alrededor del 20% de pacientes, presentando hiposeñal en T1 e hiperseñal en T2.
Este caso ilustra la posibilidad de hacer el diagnóstico de ET en base a la presencia únicamente de hallazgos neurorradiológicos, preferentemente mediante RM, incluso sin mutaciones moleculares identificables, situación que se da un alrededor de un 15-20% de pacientes.
Referencias bibilográficas:
- Umeoka S, Koyama T, Miki Y et-al. Pictorial review of tuberous sclerosis in various organs. Radiographics. 2008;28 (7): e32.
- Kalantari BN, Salamon N. Neuroimaging of tuberous sclerosis: spectrum of pathologic findings and frontiers in imaging. AJR Am J Roentgenol. 2008;190 (5): W304-9.
- Northrup, H., Krueger, D. A., & International Tuberous Sclerosis Complex Consensus Group. Tuberous sclerosis complex diagnostic criteria update: recommendations of the 2012 Iinternational Tuberous Sclerosis Complex Consensus Conference. Pediatr Neurol, 2013; 49(4), 243-254.
Comments 7
Add CommentDeja una respuesta
Lo siento, debes estar conectado para publicar un comentario.
Comments 7
Add CommentDisplasia cortical
Esclerosis tuberosa
Esclerosis Tuberosa.
Esclerosis tuberosa. Es bonito porque sin la secuencia de SWI el tuber en Monro pasa desapercibido.
Esclerosis Tuberosa.
Mas
displacía cortical
Esclerosis tuberosa. Displasia cortical frontal y nódulo subependimario.
Deja una respuesta
Lo siento, debes estar conectado para publicar un comentario.



Displasia cortical
Esclerosis tuberosa
Esclerosis Tuberosa.
Esclerosis tuberosa. Es bonito porque sin la secuencia de SWI el tuber en Monro pasa desapercibido.
Esclerosis Tuberosa.
Mas
displacía cortical
Esclerosis tuberosa. Displasia cortical frontal y nódulo subependimario.