Autores
- Dr. Juan Mesa. Email: [email protected]
- Dra. Elisa Roldán. Email: [email protected]
- Dr. Francisco de Asís. Email: [email protected]
- Hospital Universitario Reina Sofía, Córdoba
Historia Clínica
Varón de 27 años que consulta por cuadro de 7 días de evolución de bradipsiquia, afasia sensitivo-motora y leve hemiparesia derecha. Afebril, sin antecedentes infecciosos ni vacunación reciente.
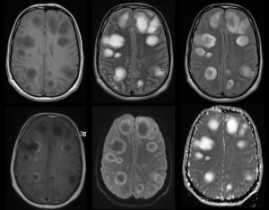
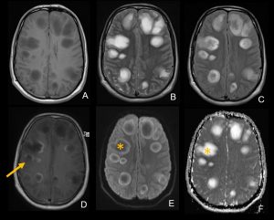
- RM T1 axial B. RM T2 axial C. RM FLAIR axial D. RM T1 axial con contraste E y F. RM DIFUSIÓN axial
Múltiples lesiones redondeadas hemisféricas bilaterales cortico-subcorticales y subcorticales, la mayoría de gran tamaño y distribución asimétrica. Se presentan hipointensas en secuencias T1 e hiperintensas en T2 y FLAIR (con periferia más hiperintensa en T1 y más hipointensa en T2). No restringen en secuencia difusión (*) y presentan realce tras la administración de contraste en forma de anillo, algunas de ellas incompleto y abierto hacia la sustancia gris (flecha).
La Enfermedad de Marburg es una variante infrecuente de esclerosis múltiple (EM), que cursa de forma aguda, fulminante y monofásica, causando la muerte en un alto porcentaje de pacientes durante el primer año, debido sobre todo, a la afectación troncoencefálica.
Dentro de los síntomas más frecuentes destaca la hemiparesia o paraparesia, ataxia, oftalmoplejia y compromiso bulbar con disfagia, disartria y fallo respiratorio.
Son características las lesiones de sustancia blanca de gran tamaño, hiperintensas en T2/FLAIR e hipo/isointensas en T1, con tendencia a la confluencia, tanto en hemisferios cerebrales, cuerpo calloso, protuberancia, bulbo y médula. Frecuentemente asocian edema, realce en anillo y efecto masa. No obstante, no existen imágenes patognomónicas de esta variante de EM.
El estudio del LCR muestra pleocitosis y discreto aumento de las proteínas. Pueden detectarse bandas oligoclonales, aunque en menor proporción que en la esclerosis múltiple típica debido al corto curso clínico (40%)
En el estudio anatomopatológico se identifican lesiones desmielinizantes más graves que las observadas en la EM. Aparece una intensa infiltración de macrófagos, daño axonal agudo, necrosis y ausencia de gliosis. La edad histológica de todas las lesiones es similar (característico).
DIAGNÓSTICO DIFERENCIAL
Se establece fundamentalmente con la encefalomielitis aguda diseminada (ADEM), los abscesos y las metástasis.
TRATAMIENTO
Los esteroides a altas dosis son el tratamiento de primera línea. También son útiles las inmunoglobulinas, inmunosupresores y plasmaféresis.
BIBLIOGRAFÍA
– Capello E, Mancardi GL. Marburg type and balo’s concentric sclerosis: rare and acute variants of multiple sclerosis. NeurolSci. 2004; 25 Supl 4: S361-3
-Walid MS, Sanoufa M. The diagnosis of Marburg disease is course-dependent. Ger Med Sci. 2010;8:Doc06
-Dimitrios Karussis. The diagnosis of multiple sclerosis and the various related demyelinating syndromes: a critical review. J Autoimmun 2014; Feb-Mar:48-49:134-42
Comments 5
Add CommentDeja una respuesta
Lo siento, debes estar conectado para publicar un comentario.



-Esclerosis concéntrica de Balo
Lesiones desmielinizantes; esclerosis multiple tumefacta!
Cisticercosis
Encefalitis aguda diseminada
ADEM, nice case