Autores
- Dra. Patricia Martín Medina, Paula Bartumeus Martínez, Concepción Crespo Martínez
- Hospital Universitario San Juan de Alicante. Alicante, España
- E-mail: [email protected], [email protected], [email protected]
Historia Clínica
Condrosarcoma de cricoides bien diferenciado
Comentario:
- Los condrosarcomas laríngeos son tumores raros, aunque representan el tumor mesenquimal más frecuente en esta región, localizándose en el 75% de los casos en la lámina posterior del cricoides. Suelen ser de bajo grado, lento crecimiento, con escasa tendencia a metastatizar aunque sí a recidivar localmente. Su forma típica de presentación es la disfonía. Aparecen en pacientes entre la sexta y séptima décadas de la vida. La laringoscopia muestra una tumoración submucosa, con plano mucoso intacto.
- La TC demuestra la extensión de la lesión y la presencia de calcificaciones, patognomónicas de las lesiones de estirpe condral. Se presentan como masas lobuladas hipodensas, de bordes bien definidos, con origen en el cartílago. La RM pone de manifiesto el comportamiento característico de la matriz condroide (marcada hiperintensidad en T2). Muestran moderado realce tras administración de contraste.
- Radiológicamente no es posible diferenciar entre un condroma benigno y un condrosarcoma de bajo grado e histopatológicamente también la diferenciación entre ambos es difícil.
- El diagnóstico diferencial debe establecerse fundamentalmente con la condrometaplasia laríngea nodular (suelen tener antecedente traumático y medir menos de 1cm). Otras entidades «raras» con las que hacer diagnóstico diferencial son la policondritis recidivante y la traqueopatía osteocondroplásica, aunque su presentación como masa única laríngea no es la forma típica; y otros sarcomas (osteosarcoma condroblástico, histiocitoma fibroso maligno…), excepcionales en la región laríngea.
- El tratamiento de elección es la cirugía (con resección funcional si es de bajo grado y no afecta a más de la mitad del cricoides). Su pronóstico es favorable.
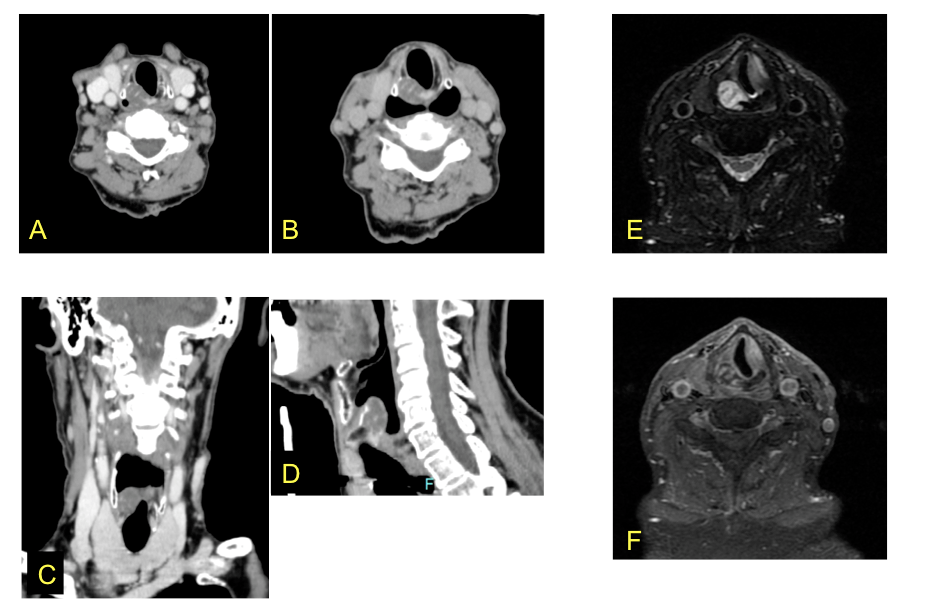
– A, B, C y D. TC de cuello con contraste. Adquisición basal (A y C) y tardía con maniobra dinámica «valsalva modificado» (B y D). Cortes axiales y reconstrucciones coronal y sagital. En plano glótico/subglótico se visualiza una tumoración de baja densidad (flechas) , bien delimitada , que parece depender del ala derecha de la lámina posterior del cartílago cricoides. Muestra crecimiento exofítico, con insuflación y calcificaciones focales en su interior, con escasa captación de contraste. No asocia masa de partes blandas ni signos de infiltración de otras estructuras.
– E y F. RM de cuello. Secuencia T2 con supresión grasa (E) y T1 con supresión grasa con contraste (F), plano axial. La tumoración presenta marcada hiperintensidad en secuencias potenciadas en T2, con tabiques hipointensos. Tras administración de contraste se observa realce periférico y de los tabiques, los cuales parecen estar en relación con las calcificaciones visualizadas en la TC. En la fibrolaringoscopia se visualizaba como una tumoración de asiento submucoso.
Comments 1
Add CommentDeja una respuesta
Lo siento, debes estar conectado para publicar un comentario.



Yo voto por un Condrosarcoma laríngeo 😉