Autores
- Camilo Pineda, Raquel del Carpio, Carlos Torres
- Hospital Clinic i Providencial. Barcelona – España, Montreal General Hospital. Montreal – Canadá
- E-mail: [email protected]
Historia Clínica
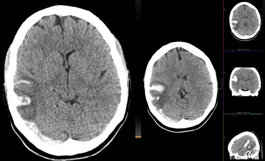
Paciente de 46 años de edad, asintomático. Se le realizo TC debido a traumatismo, posterormente se amplio estudio mediante RM.

Es una entidad rara aunque benigna. Es un quiste cuya pared está formada por células endodérmicas, se cree que es el resultado del fallo de reabsorción del canal neuroentérico.
Su localización más frecuente es en la columna vertebral a nivel a intradural-extramedular (80% de los casos), ventrales a la medula espinal en la línea media (más frecuentes en el segmento cervicotorácico de la columna vertebral); a nivel intracraneal es extremadamente raro aunque es más frecuente en la fosa posterior, de nuevo en la línea media ventral al tallo cerebral o en el ángulo pontocerebeloso.
En TC sus características son variables, aunque general mente es más denso que el LCR; sus características dependen del grado de contenido proteináceo.
Respecto al LCR la mayoría son iso-hiperintensos en T1 y típicamente hiperintensos en T2 y FLAIR. Pueden no tener restricción en DWI o mostrarla en grado leve. Generalmente no muestran realce tras administrar contraste intravenoso.
Diagnósticos Diferenciales:
Quistes epidermoides, dermoides, aracnoideos sobreinfectados u otros quistes endodérmicos (Rathke o coloide).
Comments 2
Add CommentDeja una respuesta
Lo siento, debes estar conectado para publicar un comentario.



Creo que puede ser un quiste neuroentérico y menos probable ecchordosis fisaliphora.
ESTA LESION ES EPIDURAL Y NO INTRADURAL. LE FALTA LA SECUENCIA T2 SAGITAL EN DONDE PODRIA APRECIARSE MEJOR EL DURAL TAIL.